The COLEC11 Antibody (CAB4955) is a high-quality antibody developed for reliable detection and analysis of target proteins. This gene encodes a member of the collectin family of C-type lectins that possess collagen-like sequences and carbohydrate recognition domains. Collectins are secreted proteins that play important roles in the innate immune system by binding to carbohydrate antigens on microorganisms, facilitating their recognition and removal. The encoded protein binds to multiple sugars with a preference for fucose and mannose. Mutations in this gene are a cause of 3MC syndrome-2. Alternatively spliced transcript variants encoding multiple isoforms have been observed for this gene. RRID AB_2765953 Gene ID 78989 Swiss Prot Synonym 3MC2; CLK1; CL-11; CL-K1-I; CL-K1-II; CL-K1-IIa; CL-K1-IIb; COLEC11
This antibody is validated for use in WB, IHC-P, ELISA applications and has demonstrated reactivity against Human, Mouse, Rat samples.
Product Name:
COLEC11 Antibody
SKU:
CAB4955
Size:
100μL, 20μL
Reactivity:
Human, Mouse, Rat
Clone Number:
-
Conjugate:
Unconjugated
Immunogen:
Recombinant protein (or fragment).This information is considered to be commercially sensitive.
Tested Applications:
WBIHC-PELISA
Recommended Dilution:
WB
1:500 - 1:1000
IHC-P
1:50 - 1:100
ELISA
Recommended starting concentration is 1 μg/mL. Please optimize the concentration based on your specific assay requirements.
This gene encodes a member of the collectin family of C-type lectins that possess collagen-like sequences and carbohydrate recognition domains. Collectins are secreted proteins that play important roles in the innate immune system by binding to carbohydrate antigens on microorganisms, facilitating their recognition and removal. The encoded protein binds to multiple sugars with a preference for fucose and mannose. Mutations in this gene are a cause of 3MC syndrome-2. Alternatively spliced transcript variants encoding multiple isoforms have been observed for this gene. RRID AB_2765953 Gene ID 78989 Swiss Prot Synonym 3MC2; CLK1; CL-11; CL-K1-I; CL-K1-II; CL-K1-IIa; CL-K1-IIb; COLEC11
Purification Method:
Affinity purification
Gene ID:
78989
RRID:
AB_2765953
Buffer Information:
Store at -20℃. Avoid freeze / thaw cycles. Buffer: PBS containing 50% glycerol, preserved with proclin300 or sodium azide, pH 7.3.
Western blot analysis of lysates from Mouse liver, using COLEC11 Rabbit pAb (CAB4955) at 1:1000 dilution. Secondary antibody: HRP-conjugated Goat anti-Rabbit IgG (H+L) (AS014) at 1:10000 dilution. Lysates/proteins: 25μg per lane. Blocking buffer: 3% nonfat dry milk in TBST. Detection: ECL Basic Kit (AbGn00020). Exposure time: 10s.
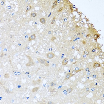
Immunohistochemistry analysis of paraffin-embedded Rat brain using COLEC11 Rabbit pAb (CAB4955) at dilution of 1:100 (40x lens). Microwave antigen retrieval performed with 0.01M PBS Buffer (pH 7.2) prior to IHC staining.