The DDX6 Antibody (CAB16270) is a high-quality antibody developed for reliable detection and analysis of target proteins. This gene encodes a member of the DEAD box protein family. The protein is an RNA helicase found in P-bodies and stress granules, and functions in translation suppression and mRNA degradation. It is required for microRNA-induced gene silencing. Multiple alternatively spliced variants, encoding the same protein, have been identified. RRID AB_2769140 Gene ID 1656 Swiss Prot Synonym P54; RCK; HLR2; IDDILF; Rck/p54; DDX6
This antibody is validated for use in WB, IHC-P, IF/ICC, ELISA applications and has demonstrated reactivity against Human, Mouse, Rat samples.
Product Name:
DDX6 Antibody
SKU:
CAB16270
Size:
100μL, 20μL
Reactivity:
Human, Mouse, Rat
Clone Number:
-
Conjugate:
Unconjugated
Immunogen:
Synthetic peptide. This information is considered to be commercially sensitive.
Tested Applications:
WBIHC-PIF/ICCELISA
Recommended Dilution:
WB
1:500 - 1:2000
IHC-P
1:50 - 1:100
IF
/
ICC
1:50 - 1:100
ELISA
Recommended starting concentration is 1 μg/mL. Please optimize the concentration based on your specific assay requirements.
Synonyms:
P54, RCK, HLR2, IDDILF, Rck/p54, DDX6
Positive Sample:
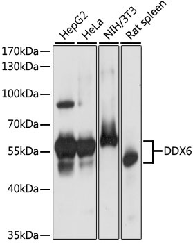
HepG2, HeLa, NIH/3T3, Rat spleen
Cellular Localization:
Cytoplasm, P-Body.
Calculated MW:
54kDa
Observed MW:
54kDa
This gene encodes a member of the DEAD box protein family. The protein is an RNA helicase found in P-bodies and stress granules, and functions in translation suppression and mRNA degradation. It is required for microRNA-induced gene silencing. Multiple alternatively spliced variants, encoding the same protein, have been identified. RRID AB_2769140 Gene ID 1656 Swiss Prot Synonym P54; RCK; HLR2; IDDILF; Rck/p54; DDX6
Purification Method:
Affinity purification
Gene ID:
1656
RRID:
AB_2769140
Buffer Information:
Store at -20℃. Avoid freeze / thaw cycles. Buffer: PBS with 0.01% thimerosal,50% glycerol,pH7.3.
Western blot analysis of various lysates using DDX6 Rabbit pAb (CAB16270) at 1:1000 dilution. Secondary antibody: HRP-conjugated Goat anti-Rabbit IgG (H+L) (AS014) at 1:10000 dilution. Lysates/proteins: 25μg per lane. Blocking buffer: 3% nonfat dry milk in TBST. Detection: ECL Basic Kit (AbGn00020). Exposure time: 1s.
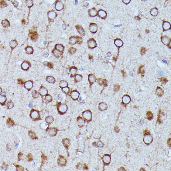
Immunohistochemistry analysis of paraffin-embedded Rat brain using DDX6 Rabbit pAb (CAB16270) at dilution of 1:100 (40x lens). Microwave antigen retrieval performed with 0.01M PBS Buffer (pH 7.2) prior to IHC staining.
Immunohistochemistry analysis of paraffin-embedded Mouse kidney using DDX6 Rabbit pAb (CAB16270) at dilution of 1:100 (40x lens). Microwave antigen retrieval performed with 0.01M PBS Buffer (pH 7.2) prior to IHC staining.
Immunofluorescence analysis of L929 cells using DDX6 Rabbit pAb (CAB16270) at dilution of 1:100 (40x lens). Secondary antibody: Cy3-conjugated Goat anti-Rabbit IgG (H+L) (AS007) at 1:500 dilution. Blue: DAPI for nuclear staining.