The DGCR8 Antibody (CAB18630) is a high-quality antibody developed for reliable detection and analysis of target proteins. This gene encodes a subunit of the microprocessor complex which mediates the biogenesis of microRNAs from the primary microRNA transcript. The encoded protein is a double-stranded RNA binding protein that functions as the non-catalytic subunit of the microprocessor complex. This protein is required for binding the double-stranded RNA substrate and facilitates cleavage of the RNA by the ribonuclease III protein, Drosha. Alternate splicing results in multiple transcript variants. RRID AB_2862368 Gene ID 54487 Swiss Prot Synonym Gy1; pasha; DGCRK6; C22orf12; DGCR8
This antibody is validated for use in WB, IHC-P, IP, ELISA applications and has demonstrated reactivity against Human, Mouse, Rat samples.
Product Name:
DGCR8 Antibody
SKU:
CAB18630
Size:
100μL, 20μL
Reactivity:
Human, Mouse, Rat
Clone Number:
-
Conjugate:
-
Immunogen:
Recombinant protein (or fragment).This information is considered to be commercially sensitive.
Tested Applications:
WBIHC-PIPELISA
Recommended Dilution:
WB
1:500 - 1:2000
IHC-P
1:50 - 1:200
IP
0.5μg-4μg antibody for 200μg-400μg extracts of whole cells
ELISA
Recommended starting concentration is 1 μg/mL. Please optimize the concentration based on your specific assay requirements.
Synonyms:
Gy1, pasha, DGCRK6, C22orf12, DGCR8
Positive Sample:
HepG2, HeLa, 293T, Mouse testis
Cellular Localization:
Nucleus, Nucleolus.
Calculated MW:
86kDa
Observed MW:
110kDa
This gene encodes a subunit of the microprocessor complex which mediates the biogenesis of microRNAs from the primary microRNA transcript. The encoded protein is a double-stranded RNA binding protein that functions as the non-catalytic subunit of the microprocessor complex. This protein is required for binding the double-stranded RNA substrate and facilitates cleavage of the RNA by the ribonuclease III protein, Drosha. Alternate splicing results in multiple transcript variants. RRID AB_2862368 Gene ID 54487 Swiss Prot Synonym Gy1; pasha; DGCRK6; C22orf12; DGCR8
Purification Method:
Affinity purification
Gene ID:
54487
RRID:
AB_2862368
Buffer Information:
Store at -20℃. Avoid freeze / thaw cycles. Buffer: PBS with 0.01% thimerosal,50% glycerol,pH7.3.
Western blot analysis of various lysates using DGCR8 Rabbit pAb (CAB18630) at 1:1000 dilution. Secondary antibody: HRP-conjugated Goat anti-Rabbit IgG (H+L) (AS014) at 1:10000 dilution. Lysates/proteins: 25μg per lane. Blocking buffer: 3% nonfat dry milk in TBST. Detection: ECL Basic Kit (AbGn00020). Exposure time: 90s.
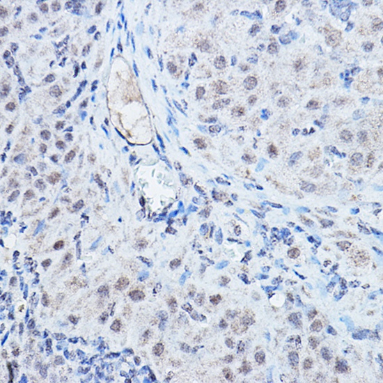
Immunohistochemistry analysis of paraffin-embedded Rat ovary using DGCR8 Rabbit pAb (CAB18630) at dilution of 1:200 (40x lens). High pressure antigen retrieval performed with 0.01M Citrate buffer (pH 6.0) prior to IHC staining.
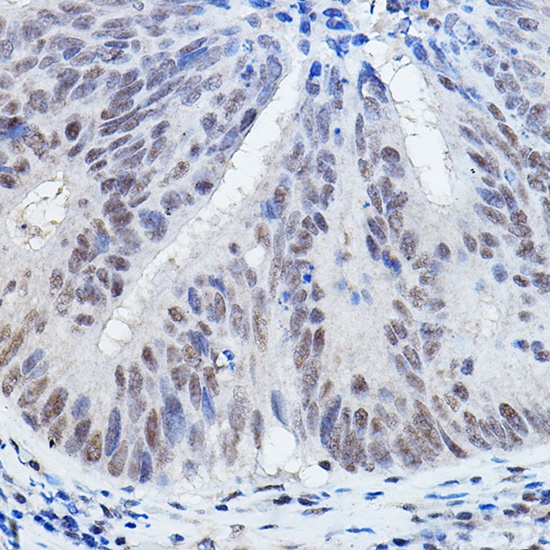
Immunohistochemistry analysis of paraffin-embedded Human colon carcinoma using DGCR8 Rabbit pAb (CAB18630) at dilution of 1:200 (40x lens). High pressure antigen retrieval performed with 0.01M Citrate buffer (pH 6.0) prior to IHC staining.
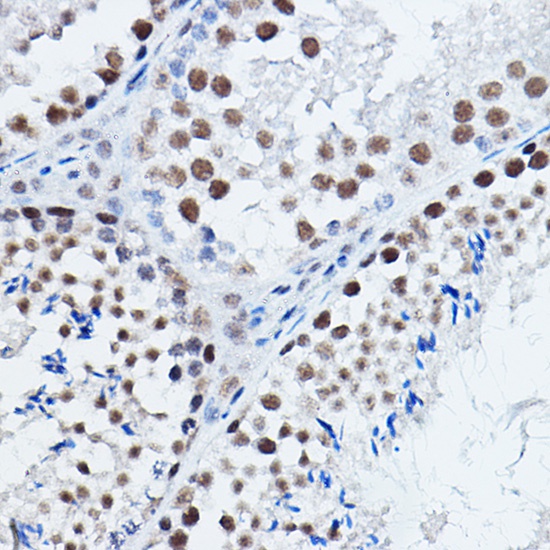
Immunohistochemistry analysis of paraffin-embedded Mouse testis using DGCR8 Rabbit pAb (CAB18630) at dilution of 1:200 (40x lens). High pressure antigen retrieval performed with 0.01M Citrate buffer (pH 6.0) prior to IHC staining.