The [KO Validated] PHD2 Antibody (CAB14557) is a high-quality antibody developed for reliable detection and analysis of target proteins. The protein encoded by this gene catalyzes the post-translational formation of 4-hydroxyproline in hypoxia-inducible factor (HIF) alpha proteins. HIF is a transcriptional complex that plays a central role in mammalian oxygen homeostasis. This protein functions as a cellular oxygen sensor, and under normal oxygen concentration, modification by prolyl hydroxylation is a key regulatory event that targets HIF subunits for proteasomal destruction via the von Hippel-Lindau ubiquitylation complex. Mutations in this gene are associated with erythrocytosis familial type 3 (ECYT3).
This antibody is validated for use in WB, IHC-P, IF/ICC, ELISA applications and has demonstrated reactivity against Human, Mouse, Rat samples.
Product Name:
[KO Validated] PHD2 Antibody
SKU:
CAB14557
Size:
100μL, 20μL
Reactivity:
Human, Mouse, Rat
Conjugate:
Unconjugated
Immunogen:
Synthetic peptide. This information is considered to be commercially sensitive.
Tested Applications:
WBIHC-PIF/ICCELISA
Recommended Dilution:
WB
1:500 - 1:1000
IHC-P
1:50 - 1:200
IF/ICC
1:50 - 1:200
ELISA
Recommended starting concentration is 1 μg/mL. Please optimize the concentration based on your specific assay requirements.
The protein encoded by this gene catalyzes the post-translational formation of 4-hydroxyproline in hypoxia-inducible factor (HIF) alpha proteins. HIF is a transcriptional complex that plays a central role in mammalian oxygen homeostasis. This protein functions as a cellular oxygen sensor, and under normal oxygen concentration, modification by prolyl hydroxylation is a key regulatory event that targets HIF subunits for proteasomal destruction via the von Hippel-Lindau ubiquitylation complex. Mutations in this gene are associated with erythrocytosis familial type 3 (ECYT3).
Purification Method
Affinity purification
Gene ID
54583
RRID
AB_2861701
Buffer Information
Store at -20℃. Avoid freeze / thaw cycles. Buffer: PBS containing 50% glycerol, preserved with proclin300 or sodium azide, pH 7.3.
Western blot analysis of lysates from wild type (WT) and PHD2/EGLN1 knockout (KO) 293T cells, using [KO Validated] PHD2/EGLN1 Rabbit pAb (CAB14557) at 1:1000 dilution. Secondary antibody: HRP-conjugated Goat anti-Rabbit IgG (H+L) (AS014) at 1:10000 dilution. Lysates/proteins: 25μg per lane. Blocking buffer: 3% nonfat dry milk in TBST. Detection: ECL Basic Kit (AbGn00020). Exposure time: 90s.
Western blot analysis of various lysates using [KO Validated] PHD2/EGLN1 Rabbit pAb (CAB14557) at 1:1000 dilution. Secondary antibody: HRP-conjugated Goat anti-Rabbit IgG (H+L) (AS014) at 1:10000 dilution. Lysates/proteins: 25μg per lane. Blocking buffer: 3% nonfat dry milk in TBST. Detection: ECL Basic Kit (AbGn00020). Exposure time: 90s.
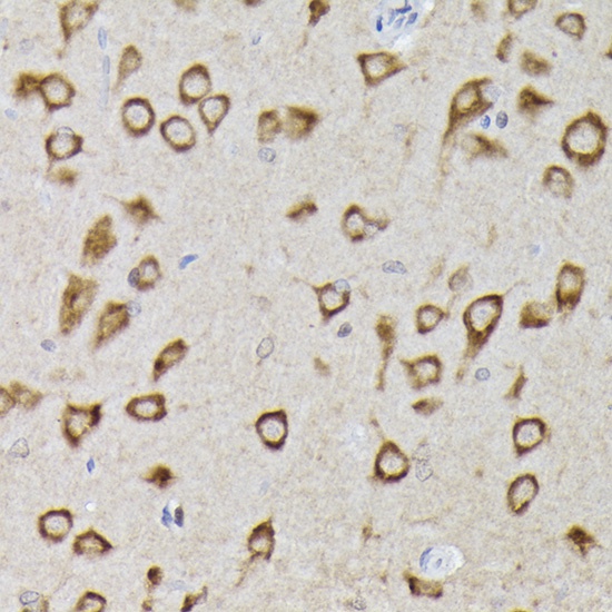
Immunohistochemistry analysis of paraffin-embedded Rat brain using [KO Validated] PHD2/EGLN1 Rabbit pAb (CAB14557) at dilution of 1:100 (40x lens). High pressure antigen retrieval performed with 0.01M Citrate buffer (pH 6.0) prior to IHC staining.
Immunohistochemistry analysis of paraffin-embedded Rat heart using [KO Validated] PHD2/EGLN1 Rabbit pAb (CAB14557) at dilution of 1:100 (40x lens). High pressure antigen retrieval performed with 0.01M Citrate buffer (pH 6.0) prior to IHC staining.