The GALK1 Antibody (CAB15274) is a high-quality antibody developed for reliable detection and analysis of target proteins. Galactokinase is a major enzyme for the metabolism of galactose and its deficiency causes congenital cataracts during infancy and presenile cataracts in the adult population.
This antibody is validated for use in WB, ELISA applications and has demonstrated reactivity against Human, Mouse samples.
Product Name:
GALK1 Antibody
SKU:
CAB15274
Size:
100μL, 20μL
Reactivity:
Human, Mouse
Conjugate:
Unconjugated
Immunogen:
Recombinant protein (or fragment).This information is considered to be commercially sensitive.
Tested Applications:
WBELISA
Recommended Dilution:
WB
1:200 - 1:2000
ELISA
Recommended starting concentration is 1 μg/mL. Please optimize the concentration based on your specific assay requirements.
Galactokinase is a major enzyme for the metabolism of galactose and its deficiency causes congenital cataracts during infancy and presenile cataracts in the adult population.
Purification Method
Affinity purification
Gene ID
2584
RRID
AB_2762174
Buffer Information
Store at -20℃. Avoid freeze / thaw cycles. Buffer: PBS with 0.01% thimerosal,50% glycerol,pH7.3.
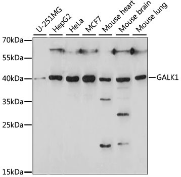
Western blot analysis of various lysates using GALK1 Rabbit pAb (CAB15274) at 1:1000 dilution. Secondary antibody: HRP-conjugated Goat anti-Rabbit IgG (H+L) (AS014) at 1:10000 dilution. Lysates/proteins: 25μg per lane. Blocking buffer: 3% nonfat dry milk in TBST. Detection: ECL Basic Kit (AbGn00020). Exposure time: 60S.