The GTPBP8 Antibody (CAB16189) is a high-quality antibody developed for reliable detection and analysis of target proteins. Predicted to enable GTP binding activity and metal ion binding activity. Located in mitochondrion.
This antibody is validated for use in WB, IHC-P, IF/ICC, ELISA applications and has demonstrated reactivity against Human, Mouse, Rat samples.
Product Name:
GTPBP8 Antibody
SKU:
CAB16189
Size:
100μL, 20μL
Reactivity:
Human, Mouse, Rat
Conjugate:
Unconjugated
Immunogen:
Recombinant protein (or fragment).This information is considered to be commercially sensitive.
Tested Applications:
WBIHC-PIF/ICCELISA
Recommended Dilution:
WB
1:500 - 1:2000
IHC-P
1:50 - 1:200
IF/ICC
1:50 - 1:200
ELISA
Recommended starting concentration is 1 μg/mL. Please optimize the concentration based on your specific assay requirements.
Synonyms:
HSPC135, GTPBP8
Positive Sample:
Mouse liver, Rat liver
Cellular Localization:
Mitochondrion.
Calculated MW:
32kDa
Observed MW:
32kDa
Predicted to enable GTP binding activity and metal ion binding activity. Located in mitochondrion.
Purification Method
Affinity purification
Gene ID
29083
RRID
AB_2763640
Buffer Information
Store at -20℃. Avoid freeze / thaw cycles. Buffer: PBS with 0.01% thimerosal,50% glycerol,pH7.3.
Western blot analysis of various lysates using GTPBP8 Rabbit pAb (CAB16189) at 1:1000 dilution. Secondary antibody: HRP-conjugated Goat anti-Rabbit IgG (H+L) (AS014) at 1:10000 dilution. Lysates/proteins: 25μg per lane. Blocking buffer: 3% nonfat dry milk in TBST. Detection: ECL Enhanced Kit (AbGn00021). Exposure time: 20s.
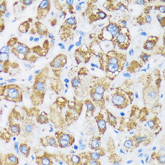
Immunohistochemistry analysis of paraffin-embedded Human liver using GTPBP8 Rabbit pAb (CAB16189) at dilution of 1:100 (40x lens). Microwave antigen retrieval performed with 0.01M PBS Buffer (pH 7.2) prior to IHC staining.
Immunofluorescence analysis of L929 cells using GTPBP8 Rabbit pAb (CAB16189) at dilution of 1:100. Secondary antibody: Cy3-conjugated Goat anti-Rabbit IgG (H+L) (AS007) at 1:500 dilution. Blue: DAPI for nuclear staining.