null

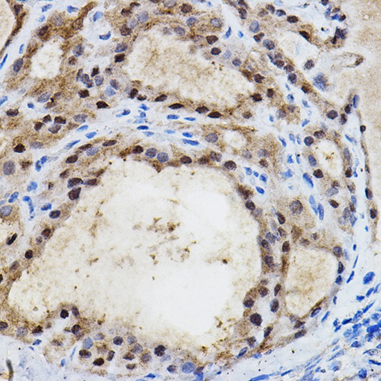
Anti-EPAS1/HIF2Alpha Antibody (CAB7553)

(No reviews yet) Write a Review
SKU:
CAB7553
Product Type:
Antibody
Antibody Type:
Polyclonal Antibody
Reactivity:
Human Mouse Rat
Host Species:
Rabbit
Synonyms:
HLF MOP2 ECYT4 HIF2A PASD2 bHLHe73 EPAS1/HIF2α
  • Cardiovascular Antibodies Anti-EPAS1/HIF2Alpha Antibody CAB7553
  • Cardiovascular Antibodies Anti-EPAS1/HIF2Alpha Antibody CAB7553
  • Cardiovascular Antibodies Anti-EPAS1/HIF2Alpha Antibody CAB7553
  • Cardiovascular Antibodies Anti-EPAS1/HIF2Alpha Antibody CAB7553
$127 - $488
Frequently bought together:

Description

system_update_altDatasheetsystem_update_altMSDS

EPAS1/HIF2alpha Antibody (CAB7553)

The EPAS1/HIF2alpha Antibody (CAB7553) is a high-quality antibody developed for reliable detection and analysis of target proteins. This gene encodes a transcription factor involved in the induction of genes regulated by oxygen, which is induced as oxygen levels fall. The encoded protein contains a basic-helix-loop-helix domain protein dimerization domain as well as a domain found in proteins in signal transduction pathways which respond to oxygen levels. Mutations in this gene are associated with erythrocytosis familial type 4.

This antibody is validated for use in WB, IHC-P, IF/ICC, ELISA applications and has demonstrated reactivity against Human, Mouse, Rat samples.

0 Reviews

View AllClose