The HLTF Antibody (CAB8353) is a high-quality antibody developed for reliable detection and analysis of target proteins. This gene encodes a member of the SWI/SNF family. Members of this family have helicase and ATPase activities and are thought to regulate transcription of certain genes by altering the chromatin structure around those genes. The encoded protein contains a RING finger DNA binding motif. Two transcript variants encoding the same protein have been found for this gene. However, use of an alternative translation start site produces an isoform that is truncated at the N-terminus compared to the full-length protein.
This antibody is validated for use in WB, ELISA applications and has demonstrated reactivity against Human samples.
Product Name:
HLTF Antibody
SKU:
CAB8353
Size:
100μL, 20μL
Reactivity:
Human
Conjugate:
Unconjugated
Immunogen:
Recombinant protein (or fragment).This information is considered to be commercially sensitive.
Tested Applications:
WBELISA
Recommended Dilution:
WB
1:500 - 1:2000
ELISA
Recommended starting concentration is 1 μg/mL. Please optimize the concentration based on your specific assay requirements.
This gene encodes a member of the SWI/SNF family. Members of this family have helicase and ATPase activities and are thought to regulate transcription of certain genes by altering the chromatin structure around those genes. The encoded protein contains a RING finger DNA binding motif. Two transcript variants encoding the same protein have been found for this gene. However, use of an alternative translation start site produces an isoform that is truncated at the N-terminus compared to the full-length protein.
Purification Method
Affinity purification
Gene ID
6596
RRID
AB_2769808
Buffer Information
Store at -20℃. Avoid freeze / thaw cycles. Buffer: PBS containing 50% glycerol, preserved with proclin300 or sodium azide, pH 7.3.
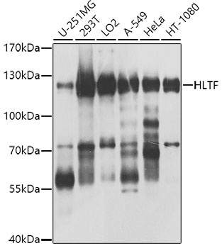
Western blot analysis of various lysates using HLTF Rabbit pAb (CAB8353) at 1:1000 dilution. Secondary antibody: HRP-conjugated Goat anti-Rabbit IgG (H+L) (AS014) at 1:10000 dilution. Lysates/proteins: 25μg per lane. Blocking buffer: 3% nonfat dry milk in TBST. Detection: ECL Basic Kit (AbGn00020). Exposure time: 5s.