The IL18R1 Antibody (CAB2706) is a high-quality antibody developed for reliable detection and analysis of target proteins. The protein encoded by this gene is a cytokine receptor that belongs to the interleukin 1 receptor family. This receptor specifically binds interleukin 18 (IL18), and is essential for IL18 mediated signal transduction. IFN-alpha and IL12 are reported to induce the expression of this receptor in NK and T cells. This gene along with four other members of the interleukin 1 receptor family, including IL1R2, IL1R1, ILRL2 (IL-1Rrp2), and IL1RL1 (T1/ST2), form a gene cluster on chromosome 2q. Alternatively spliced transcript variants encoding different isoforms have been found for this gene.
This antibody is validated for use in WB, IHC-P, IF/ICC, ELISA applications and has demonstrated reactivity against Human, Mouse, Rat samples.
Product Name:
IL18R1 Antibody
SKU:
CAB2706
Size:
100μL, 20μL
Reactivity:
Human, Mouse, Rat
Conjugate:
Unconjugated
Immunogen:
Recombinant protein (or fragment).This information is considered to be commercially sensitive.
Tested Applications:
WBIHC-PIF/ICCELISA
Recommended Dilution:
WB
1:500 - 1:1000
IHC-P
1:50 - 1:200
IF/ICC
1:50 - 1:200
ELISA
Recommended starting concentration is 1 μg/mL. Please optimize the concentration based on your specific assay requirements.
The protein encoded by this gene is a cytokine receptor that belongs to the interleukin 1 receptor family. This receptor specifically binds interleukin 18 (IL18), and is essential for IL18 mediated signal transduction. IFN-alpha and IL12 are reported to induce the expression of this receptor in NK and T cells. This gene along with four other members of the interleukin 1 receptor family, including IL1R2, IL1R1, ILRL2 (IL-1Rrp2), and IL1RL1 (T1/ST2), form a gene cluster on chromosome 2q. Alternatively spliced transcript variants encoding different isoforms have been found for this gene.
Purification Method
Affinity purification
Gene ID
8809
RRID
AB_2764561
Buffer Information
Store at -20℃. Avoid freeze / thaw cycles. Buffer: PBS containing 50% glycerol, preserved with proclin300 or sodium azide, pH 7.3.
Western blot analysis of lysates from NCI-H460 cells, using IL18R1/IL-18 R alpha Rabbit pAb (CAB2706) at 1:1000 dilution. Secondary antibody: HRP-conjugated Goat anti-Rabbit IgG (H+L) (AS014) at 1:10000 dilution. Lysates/proteins: 25μg per lane. Blocking buffer: 3% nonfat dry milk in TBST. Detection: ECL Basic Kit (AbGn00020). Exposure time: 90s.
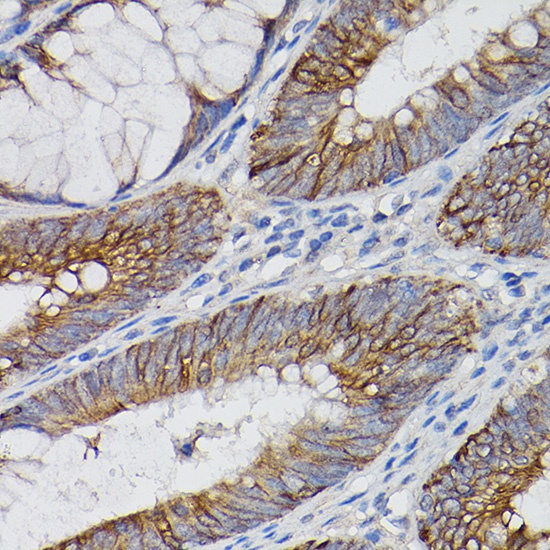
Immunohistochemistry analysis of paraffin-embedded Human colon carcinoma using IL18R1/IL-18 R alpha Rabbit pAb (CAB2706) at dilution of 1:100 (40x lens). High pressure antigen retrieval performed with 0.01M Citrate buffer (pH 6.0) prior to IHC staining.