The LAMP2 Monoclonal Antibody (CAB0593) is a high-quality antibody developed for reliable detection and analysis of target proteins. The protein encoded by this gene is a member of a family of membrane glycoproteins. This glycoprotein provides selectins with carbohydrate ligands. It may play a role in tumor cell metastasis. It may also function in the protection, maintenance, and adhesion of the lysosome. Alternative splicing of this gene results in multiple transcript variants encoding distinct proteins. RRID AB_2861469 Gene ID 3920 Swiss Prot Synonym DND; LAMPB; CD107b; LAMP-2; LGP-96; LGP110; LAMP2
This antibody is validated for use in WB, IHC-P, ELISA applications and has demonstrated reactivity against Human, Mouse, Rat samples.
Product Name:
LAMP2 Monoclonal Antibody
SKU:
CAB0593
Size:
100μL, 20μL
Reactivity:
Human, Mouse, Rat
Clone Number:
ARC0274
Conjugate:
Unconjugated
Immunogen:
Synthetic peptide. This information is considered to be commercially sensitive.
Tested Applications:
WBIHC-PELISA
Recommended Dilution:
WB
1:1000 - 1:2000
IHC-P
1:200 - 1:2000
ELISA
Recommended starting concentration is 1 μg/mL. Please optimize the concentration based on your specific assay requirements.
Synonyms:
DND, LAMPB, CD107b, LAMP-2, LGP-96, LGP110, LAMP2
Positive Sample:
A-549, Mouse liver, Mouse kidney, Rat liver, Rat kidney
Cellular Localization:
Cell Membrane, Endosome Membrane, Lysosome Membrane, Single-Pass Type I Membrane Protein.
Calculated MW:
45kDa
Observed MW:
100-130kDa
The protein encoded by this gene is a member of a family of membrane glycoproteins. This glycoprotein provides selectins with carbohydrate ligands. It may play a role in tumor cell metastasis. It may also function in the protection, maintenance, and adhesion of the lysosome. Alternative splicing of this gene results in multiple transcript variants encoding distinct proteins. RRID AB_2861469 Gene ID 3920 Swiss Prot Synonym DND; LAMPB; CD107b; LAMP-2; LGP-96; LGP110; LAMP2
Purification Method:
Affinity purification
Gene ID:
3920
RRID:
AB_2861469
Buffer Information:
Store at -20℃. Avoid freeze / thaw cycles. Buffer: PBS containing 50% glycerol and 0.05% BSA, preserved with proclin300 or sodium azide, pH 7.3.
Western blot analysis of lysates from A-549 cells, using [KO Validated] LAMP2 Rabbit mAb (CAB0593) at 1:1000 dilution. Secondary antibody: HRP-conjugated Goat anti-Rabbit IgG (H+L) (AS014) at 1:10000 dilution. Lysates/proteins: 25 μg per lane. Blocking buffer: 3% nonfat dry milk in TBST. Detection: ECL Basic Kit (AbGn00020). Exposure time: 3min.
Western blot analysis of various lysates using [KO Validated] LAMP2 Rabbit mAb (CAB0593) at 1:1000 dilution. Secondary antibody: HRP-conjugated Goat anti-Rabbit IgG (H+L) (AS014) at 1:10000 dilution. Lysates/proteins: 25 μg per lane. Blocking buffer: 3% nonfat dry milk in TBST. Detection: ECL Enhanced Kit (AbGn00021). Exposure time: 3min.
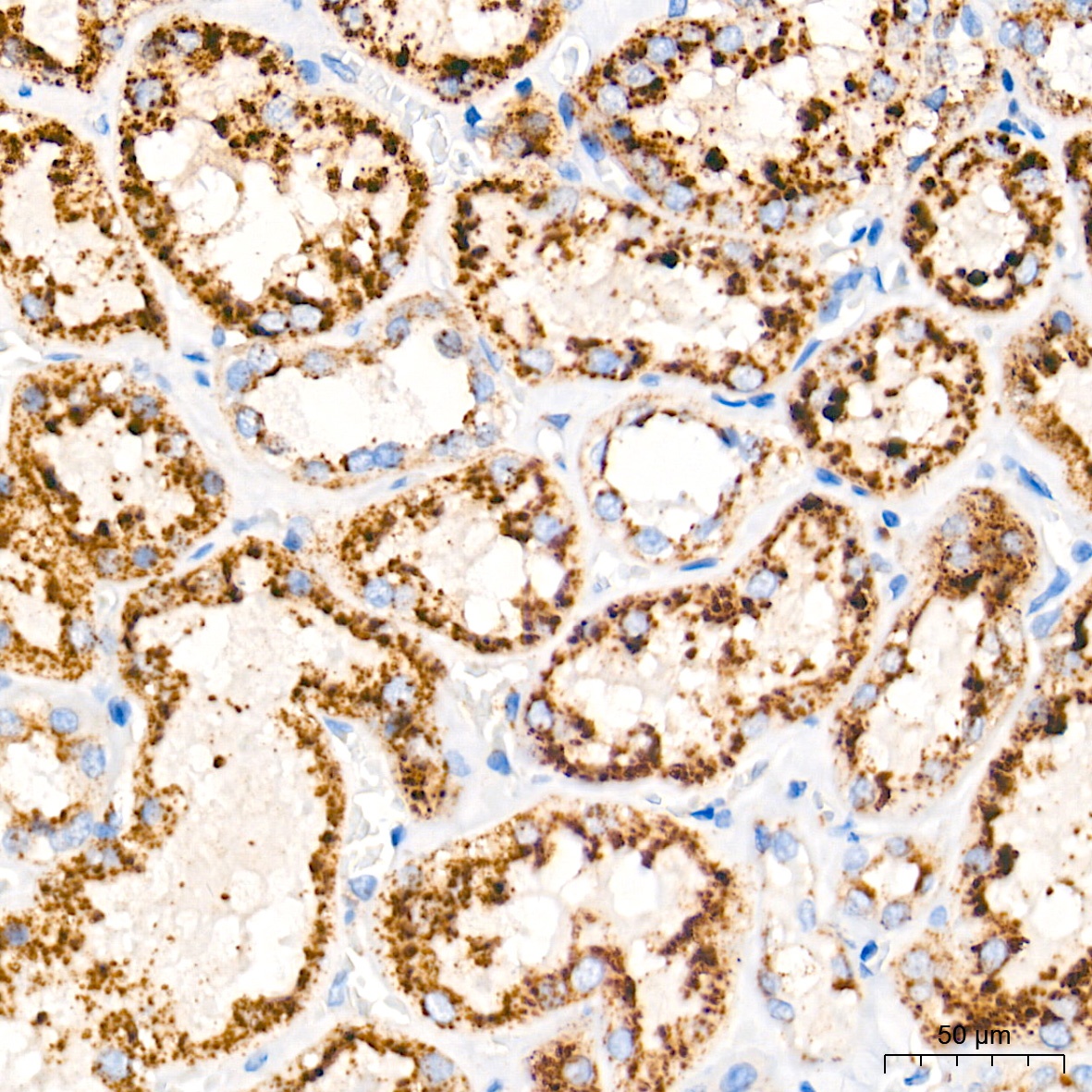
Immunohistochemistry analysis of paraffin-embedded Human kidney tissue using [KO Validated] LAMP2 Rabbit mAb (CAB0593) at a dilution of 1:2000 (40x lens). High pressure antigen retrieval performed with 0.01M Tris-EDTA Buffer (pH 9.0) prior to IHC staining.
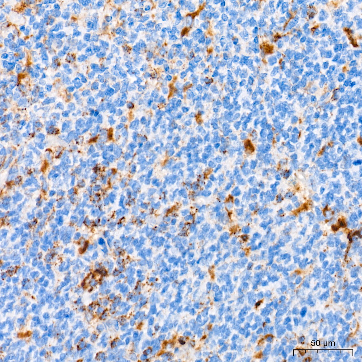
Immunohistochemistry analysis of paraffin-embedded Human tonsil tissue using [KO Validated] LAMP2 Rabbit mAb (CAB0593) at a dilution of 1:2000 (40x lens). High pressure antigen retrieval performed with 0.01M Tris-EDTA Buffer (pH 9.0) prior to IHC staining.