The MAF Polyclonal Antibody (CAB12720) is a highly specific and sensitive tool for researching the MAF protein, which plays a vital role in various cellular processes, including cell differentiation and immune response regulation. This polyclonal antibody, produced in rabbits, exhibits strong reactivity with human samples and is validated for use in Western blot applications. By binding to the MAF protein, this antibody enables accurate detection and analysis in a variety of cell types, making it an excellent choice for studies in immunology, cancer research, and other fields where MAF is a key player.
MAF, a transcription factor, is known to be involved in the regulation of gene expression and cell development, making it a crucial target for understanding the mechanisms underlying diseases such as cancer, autoimmune disorders, and inflammatory conditions. By utilizing the MAF Polyclonal Antibody, researchers can delve deeper into the functions of MAF and its role in various cellular pathways, ultimately leading to insights that could pave the way for innovative therapeutic strategies targeting MAF-related pathways.
Product Name:
c-Maf Rabbit Polyclonal Antibody
SKU:
CAB12720
Size:
20uL, 100uL
Isotype:
IgG
Host Species:
Rabbit
Reactivity:
Human,Mouse,Rat
Immunogen:
Recombinant fusion protein containing a sequence corresponding to amino acids 314-403 of human c-Maf (NP_005351.2).
The protein encoded by this gene is a DNA-binding, leucine zipper-containing transcription factor that acts as a homodimer or as a heterodimer. Depending on the binding site and binding partner, the encoded protein can be a transcriptional activator or repressor. This protein plays a role in the regulation of several cellular processes, including embryonic lens fiber cell development, increased T-cell susceptibility to apoptosis, and chondrocyte terminal differentiation. Defects in this gene are a cause of juvenile-onset pulverulent cataract as well as congenital cerulean cataract 4 (CCA4). Two transcript variants encoding different isoforms have been found for this gene.
Purification Method:
Affinity purification
Gene ID:
4094
Storage Buffer:
Store at -20℃. Avoid freeze / thaw cycles.Buffer: PBS with 0.01% thimerosal,50% glycerol,pH7.3.
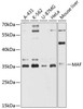
Western blot analysis of various lysates using c-Maf Rabbit pAb (CAB12720) at 1:3000 dilution.Secondary antibody: HRP Goat Anti-Rabbit IgG (H+L) (CABS014) at 1:10000 dilution.Lysates/proteins: 25μg per lane.Blocking buffer: 3% nonfat dry milk in TBST.Detection: ECL Basic Kit (AbGn00020).Exposure time: 30s.