The NAA20 Antibody (CAB7105) is a high-quality antibody developed for reliable detection and analysis of target proteins. NAT5 is a component of N-acetyltransferase complex B (NatB). Human NatB performs cotranslational N(alpha)-terminal acetylation of methionine residues when they are followed by asparagine (Starheim et al., 2008 [PubMed 18570629]).
This antibody is validated for use in WB, IHC-P, IP, ELISA applications and has demonstrated reactivity against Human, Mouse, Rat samples.
Product Name:
NAA20 Antibody
SKU:
CAB7105
Size:
100μL, 20μL
Reactivity:
Human, Mouse, Rat
Conjugate:
Unconjugated
Immunogen:
Recombinant protein (or fragment).This information is considered to be commercially sensitive.
Tested Applications:
WBIHC-PIPELISA
Recommended Dilution:
WB
1:500 - 1:2000
IHC-P
1:50 - 1:200
IP
0.5μg-4μg antibody for 200μg-400μg extracts of whole cells
ELISA
Recommended starting concentration is 1 μg/mL. Please optimize the concentration based on your specific assay requirements.
NAT5 is a component of N-acetyltransferase complex B (NatB). Human NatB performs cotranslational N(alpha)-terminal acetylation of methionine residues when they are followed by asparagine (Starheim et al., 2008 [PubMed 18570629]).
Purification Method
Affinity purification
Gene ID
51126
RRID
AB_2767660
Buffer Information
Store at -20℃. Avoid freeze / thaw cycles. Buffer: PBS containing 50% glycerol, preserved with proclin300 or sodium azide, pH 7.3.
Western blot analysis of various lysates using NAA20 Rabbit pAb (CAB7105) at 1:1000 dilution._Secondary antibody: HRP-conjugated Goat anti-Rabbit IgG (H+L) (AS014) at 1:10000 dilution._Lysates/proteins: 25μg per lane._Blocking buffer: 3% nonfat dry milk in TBST._Detection: ECL Enhanced Kit (AbGn00021)._Exposure time: 90s.
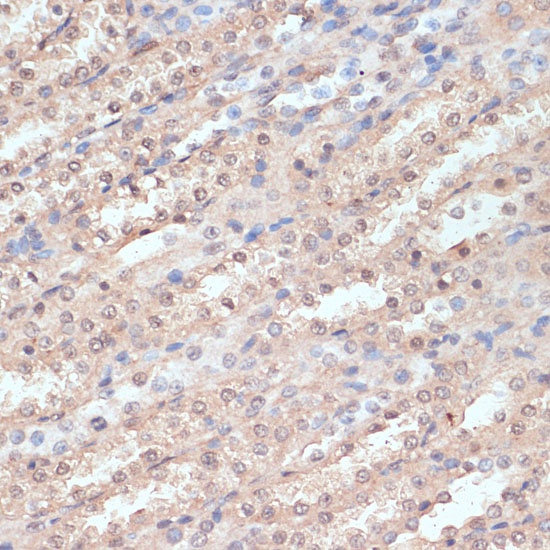
Immunohistochemistry analysis of paraffin-embedded Rat kidney using NAA20 Rabbit pAb (CAB7105) at dilution of 1:100 (40x lens). Microwave antigen retrieval performed with 0.01M PBS Buffer (pH 7.2) prior to IHC staining.
Immunoprecipitation analysis of 200 μg extracts of MCF7 cells using 1 μg NAA20 antibody (CAB7105). Western blot was performed from the immunoprecipitate using NAA20 antibody (CAB7105) at a dilution of 1:1000.