The NOP58 Antibody (CAB14129) is a high-quality antibody developed for reliable detection and analysis of target proteins. The protein encoded by this gene is a core component of box C/D small nucleolar ribonucleoproteins. Some box C/D small nucleolar RNAs (snoRNAs), such as U3, U8, and U14, are dependent upon the encoded protein for their synthesis. This protein is SUMOylated, which is necessary for high affinity binding to snoRNAs.
This antibody is validated for use in WB, IF/ICC, ELISA applications and has demonstrated reactivity against Human, Mouse, Rat samples.
Product Name:
NOP58 Antibody
SKU:
CAB14129
Size:
100μL, 20μL
Reactivity:
Human, Mouse, Rat
Conjugate:
Unconjugated
Immunogen:
Recombinant protein (or fragment).This information is considered to be commercially sensitive.
Tested Applications:
WBIF/ICCELISA
Recommended Dilution:
WB
1:500 - 1:2000
IF/ICC
1:50 - 1:200
ELISA
Recommended starting concentration is 1 μg/mL. Please optimize the concentration based on your specific assay requirements.
The protein encoded by this gene is a core component of box C/D small nucleolar ribonucleoproteins. Some box C/D small nucleolar RNAs (snoRNAs), such as U3, U8, and U14, are dependent upon the encoded protein for their synthesis. This protein is SUMOylated, which is necessary for high affinity binding to snoRNAs.
Purification Method
Affinity purification
Gene ID
51602
RRID
AB_2760986
Buffer Information
Store at -20℃. Avoid freeze / thaw cycles. Buffer: PBS containing 50% glycerol, preserved with proclin300 or sodium azide, pH 7.3.
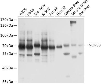
Western blot analysis of various lysates using NOP58 Rabbit pAb (CAB14129) at 1:1000 dilution. Secondary antibody: HRP-conjugated Goat anti-Rabbit IgG (H+L) (AS014) at 1:10000 dilution. Lysates/proteins: 25μg per lane. Blocking buffer: 3% nonfat dry milk in TBST. Detection: ECL Basic Kit (AbGn00020). Exposure time: 5s.
Confocal immunofluorescence analysis of U2OS cells using NOP58 Rabbit pAb (CAB14129) at dilution of 1:100. Blue: DAPI for nuclear staining.