The PRMT1 Monoclonal Antibody (CAB4502) is a high-quality antibody developed for reliable detection and analysis of target proteins. This gene encodes a member of the protein arginine N-methyltransferase (PRMT) family. Post-translational modification of target proteins by PRMTs plays an important regulatory role in many biological processes, whereby PRMTs methylate arginine residues by transferring methyl groups from S-adenosyl-L-methionine to terminal guanidino nitrogen atoms. The encoded protein is a type I PRMT and is responsible for the majority of cellular arginine methylation activity. Increased expression of this gene may play a role in many types of cancer. Alternatively spliced transcript variants encoding multiple isoforms have been observed for this gene, and a pseudogene of this gene is located on the long arm of chromosome 5.
This antibody is validated for use in WB, IHC-P, IF/ICC, ELISA applications and has demonstrated reactivity against Human, Mouse, Rat samples.
Product Name:
PRMT1 Monoclonal Antibody
SKU:
CAB4502
Size:
100μL, 20μL
Reactivity:
Human, Mouse, Rat
Clone Number:
ARC1066
Conjugate:
Unconjugated
Immunogen:
Synthetic peptide. This information is considered to be commercially sensitive.
Tested Applications:
WBIHC-PIF/ICCELISA
Recommended Dilution:
WB
1:500 - 1:2000
IHC-P
1:50 - 1:200
IF/ICC
1:50 - 1:200
ELISA
Recommended starting concentration is 1 μg/mL. Please optimize the concentration based on your specific assay requirements.
Synonyms:
ANM1, HCP1, IR1B4, HRMT1L2, PRMT1
Positive Sample:
SW620, A549
Cellular Localization:
Cytoplasm, Nucleus, Cytosol, Nucleoplasm.
Calculated MW:
42kDa
Observed MW:
42kDa
This gene encodes a member of the protein arginine N-methyltransferase (PRMT) family. Post-translational modification of target proteins by PRMTs plays an important regulatory role in many biological processes, whereby PRMTs methylate arginine residues by transferring methyl groups from S-adenosyl-L-methionine to terminal guanidino nitrogen atoms. The encoded protein is a type I PRMT and is responsible for the majority of cellular arginine methylation activity. Increased expression of this gene may play a role in many types of cancer. Alternatively spliced transcript variants encoding multiple isoforms have been observed for this gene, and a pseudogene of this gene is located on the long arm of chromosome 5.
Purification Method
Affinity purification
Gene ID
3276
RRID
AB_2863283
Buffer Information
Store at -20℃. Avoid freeze / thaw cycles. Buffer: PBS containing 50% glycerol and 0.05% BSA, preserved with proclin300 or sodium azide, pH 7.3.
Western blot analysis of various lysates using PRMT1 Rabbit mAb (CAB4502) at 1:1000 dilution incubated overnight at 4℃. Secondary antibody: HRP-conjugated Goat anti-Rabbit IgG (H+L) (AS014) at 1:10000 dilution. Lysates/proteins: 25 μg per lane. Blocking buffer: 3% nonfat dry milk in TBST. Detection: ECL Basic Kit (AbGn00020). Exposure time: 90s.
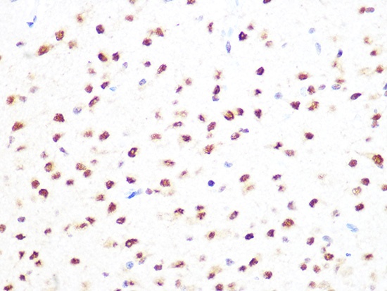
Immunohistochemistry analysis of paraffin-embedded Rat brain using PRMT1 Rabbit mAb (CAB4502) at dilution of 1:100 (40x lens). Microwave antigen retrieval performed with 0.01M PBS Buffer (pH 7.2) prior to IHC staining.
Immunofluorescence analysis of C6 cells using PRMT1 Rabbit mAb (CAB4502) at dilution of 1:100 (40x lens). Secondary antibody: Cy3-conjugated Goat anti-Rabbit IgG (H+L) (AS007) at 1:500 dilution. Blue: DAPI for nuclear staining.
Immunofluorescence analysis of NIH-3T3 cells using PRMT1 Rabbit mAb (CAB4502) at dilution of 1:100 (40x lens). Secondary antibody: Cy3-conjugated Goat anti-Rabbit IgG (H+L) (AS007) at 1:500 dilution. Blue: DAPI for nuclear staining.