null

PSMB2 Rabbit Polyclonal Antibody (CAB13630)

(No reviews yet) Write a Review
SKU:
CAB13630
Product Type:
Antibody
Antibody Type:
Polyclonal Antibody
Reactivity:
Human Rat
Host Species:
Rabbit
Synonyms:
HC7-I PSMB2
  • Immunology Antibodies 1 Anti-PSMB2 Antibody CAB13630
  • Immunology Antibodies 1 Anti-PSMB2 Antibody CAB13630
  • Immunology Antibodies 1 Anti-PSMB2 Antibody CAB13630
  • Immunology Antibodies 1 Anti-PSMB2 Antibody CAB13630
€96 - €370
Frequently bought together:

Description

system_update_altDatasheetsystem_update_altMSDS

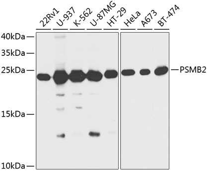
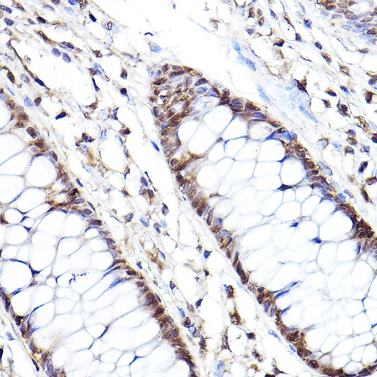
PSMB2 Antibody (CAB13630)

The PSMB2 Antibody (CAB13630) is a high-quality antibody developed for reliable detection and analysis of target proteins. The proteasome is a multicatalytic proteinase complex with a highly ordered ring-shaped 20S core structure. The core structure is composed of 4 rings of 28 non-identical subunits; 2 rings are composed of 7 alpha subunits and 2 rings are composed of 7 beta subunits. Proteasomes are distributed throughout eukaryotic cells at a high concentration and cleave peptides in an ATP/ubiquitin-dependent process in a non-lysosomal pathway. An essential function of a modified proteasome, the immunoproteasome, is the processing of class I MHC peptides. This gene encodes a member of the proteasome B-type family, also known as the T1B family, that is a 20S core beta subunit. Multiple alternatively spliced transcript variants encoding distinct isoforms have been found for this gene.

This antibody is validated for use in WB, IHC-P, IF/ICC, IP, ELISA applications and has demonstrated reactivity against Human, Rat samples.

0 Reviews

View AllClose