The RGAP1 Antibody (CAB5298) is a high-quality antibody developed for reliable detection and analysis of target proteins. This gene encodes a GTPase-activating protein (GAP) that is a compoment of the centralspindlin complex. This protein binds activated forms of Rho GTPases and stimulates GTP hydrolysis, which results in negative regulation of Rho-mediated signals. This protein plays a regulatory role in cytokinesis, cell growth, and differentiation. Alternatively spliced transcript variants have been found for this gene. There is a pseudogene for this gene on chromosome 12.
This antibody is validated for use in WB, IHC-P, IF/ICC, ELISA applications and has demonstrated reactivity against Human, Mouse, Rat samples.
Product Name:
RGAP1 Antibody
SKU:
CAB5298
Size:
100μL, 20μL
Reactivity:
Human, Mouse, Rat
Conjugate:
Unconjugated
Immunogen:
Recombinant protein (or fragment).This information is considered to be commercially sensitive.
Tested Applications:
WBIHC-PIF/ICCELISA
Recommended Dilution:
WB
1:100 - 1:500
IHC-P
1:50 - 1:200
IF/ICC
1:50 - 1:200
ELISA
Recommended starting concentration is 1 μg/mL. Please optimize the concentration based on your specific assay requirements.
Synonyms:
CYK4, CDAN3B, ID-GAP, HsCYK-4, MgcRacGAP, RGAP1
Positive Sample:
HeLa, 293T, K-562, Mouse testis, Mouse thymus, Rat testis
This gene encodes a GTPase-activating protein (GAP) that is a compoment of the centralspindlin complex. This protein binds activated forms of Rho GTPases and stimulates GTP hydrolysis, which results in negative regulation of Rho-mediated signals. This protein plays a regulatory role in cytokinesis, cell growth, and differentiation. Alternatively spliced transcript variants have been found for this gene. There is a pseudogene for this gene on chromosome 12.
Purification Method
Affinity purification
Gene ID
29127
RRID
AB_2766110
Buffer Information
Store at -20℃. Avoid freeze / thaw cycles. Buffer: PBS containing 50% glycerol, preserved with proclin300 or sodium azide, pH 7.3.
Western blot analysis of various lysates using RGAP1 Rabbit pAb (CAB5298) at 1:500 dilution. Secondary antibody: HRP-conjugated Goat anti-Rabbit IgG (H+L) (AS014) at 1:10000 dilution. Lysates/proteins: 25μg per lane. Blocking buffer: 3% nonfat dry milk in TBST. Detection: ECL Basic Kit (AbGn00020). Exposure time: 180s.
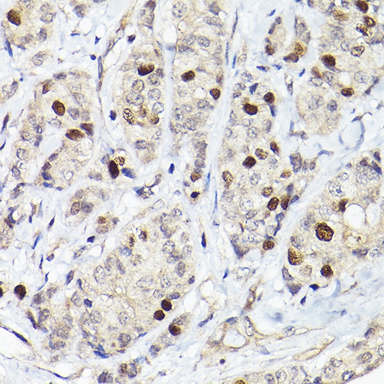
Immunohistochemistry analysis of paraffin-embedded Human breast cancer using RGAP1 Rabbit pAb (CAB5298) at dilution of 1:50 (40x lens). High pressure antigen retrieval performed with 0.01M Citrate buffer (pH 6.0) prior to IHC staining.
Immunofluorescence analysis of U2OS cells using RGAP1 Rabbit pAb (CAB5298). Secondary antibody: Cy3-conjugated Goat anti-Rabbit IgG (H+L) (AS007) at 1:500 dilution. Blue: DAPI for nuclear staining.