null

Rad50 Rabbit Polyclonal Antibody (CAB0182)

(No reviews yet) Write a Review
SKU:
CAB0182
Product Type:
Antibody
Antibody Type:
Polyclonal Antibody
Reactivity:
Human Mouse
Host Species:
Rabbit
Synonyms:
NBSLD RAD502 hRad50 Rad50
  • Cell Cycle Antibodies 1 Anti-Rad50 Antibody CAB0182
  • Cell Cycle Antibodies 1 Anti-Rad50 Antibody CAB0182
  • Cell Cycle Antibodies 1 Anti-Rad50 Antibody CAB0182
  • Cell Cycle Antibodies 1 Anti-Rad50 Antibody CAB0182
€96 - €370
Frequently bought together:

Description

system_update_altDatasheetsystem_update_altMSDS

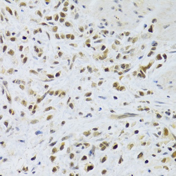
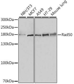
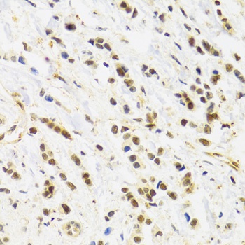
Rad50 Antibody (CAB0182)

The Rad50 Antibody (CAB0182) is a high-quality antibody developed for reliable detection and analysis of target proteins. The protein encoded by this gene is highly similar to Saccharomyces cerevisiae Rad50, a protein involved in DNA double-strand break repair. This protein forms a complex with MRE11 and NBS1. The protein complex binds to DNA and displays numerous enzymatic activities that are required for nonhomologous joining of DNA ends. This protein, cooperating with its partners, is important for DNA double-strand break repair, cell cycle checkpoint activation, telomere maintenance, and meiotic recombination. Knockout studies of the mouse homolog suggest this gene is essential for cell growth and viability. Mutations in this gene are the cause of Nijmegen breakage syndrome-like disorder. RRID AB_2757005 Gene ID 10111 Swiss Prot Synonym NBSLD; RAD502; hRad50; Rad50

This antibody is validated for use in WB, IHC-P, ELISA applications and has demonstrated reactivity against Human, Mouse samples.

0 Reviews

View AllClose