The RBPJK Monoclonal Antibody (CAB4081) is a high-quality antibody developed for reliable detection and analysis of target proteins. The protein encoded by this gene is a transcriptional regulator important in the Notch signaling pathway. The encoded protein acts as a repressor when not bound to Notch proteins and an activator when bound to Notch proteins. It is thought to function by recruiting chromatin remodeling complexes containing histone deacetylase or histone acetylase proteins to Notch signaling pathway genes. Several transcript variants encoding different isoforms have been found for this gene, and several pseudogenes of this gene exist on chromosome 9. RRID AB_2863183 Gene ID 3516 Swiss Prot Synonym SUH; csl; AOS3; CBF1; KBF2; CBF-1; RBP-J; RBPJK; IGKJRB; RBP-JK; RBPSUH; IGKJRB1; RBP-J kappa
This antibody is validated for use in WB, IHC-P, ELISA applications and has demonstrated reactivity against Human, Mouse samples.
Product Name:
RBPJK Monoclonal Antibody
SKU:
CAB4081
Size:
100μL, 20μL
Reactivity:
Human, Mouse
Clone Number:
ARC0894
Conjugate:
Unconjugated
Immunogen:
Synthetic peptide. This information is considered to be commercially sensitive.
Tested Applications:
WBIHC-PELISA
Recommended Dilution:
WB
1:1000 - 1:6000
IHC-P
1:50 - 1:500
ELISA
Recommended starting concentration is 1 μg/mL. Please optimize the concentration based on your specific assay requirements.
The protein encoded by this gene is a transcriptional regulator important in the Notch signaling pathway. The encoded protein acts as a repressor when not bound to Notch proteins and an activator when bound to Notch proteins. It is thought to function by recruiting chromatin remodeling complexes containing histone deacetylase or histone acetylase proteins to Notch signaling pathway genes. Several transcript variants encoding different isoforms have been found for this gene, and several pseudogenes of this gene exist on chromosome 9. RRID AB_2863183 Gene ID 3516 Swiss Prot Synonym SUH; csl; AOS3; CBF1; KBF2; CBF-1; RBP-J; RBPJK; IGKJRB; RBP-JK; RBPSUH; IGKJRB1; RBP-J kappa
Purification Method:
Affinity purification
Gene ID:
3516
RRID:
AB_2863183
Buffer Information:
Store at -20℃. Avoid freeze / thaw cycles. Buffer: PBS containing 50% glycerol and 0.05% BSA, preserved with proclin300 or sodium azide, pH 7.3.
Western blot analysis of various lysates using RBPJK Rabbit mAb (CAB4081) at 1:1000 dilution. Secondary antibody: HRP-conjugated Goat anti-Rabbit IgG (H+L) (AS014) at 1:10000 dilution. Lysates/proteins: 25μg per lane. Blocking buffer: 3% nonfat dry milk in TBST. Detection: ECL Basic Kit (AbGn00020). Exposure time: 10s.
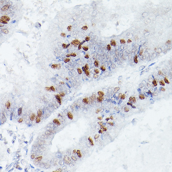
Immunohistochemistry analysis of paraffin-embedded Human colon carcinoma using RBPJK Rabbit mAb (CAB4081) at dilution of 1:50 (40x lens). High pressure antigen retrieval performed with 0.01M Citrate buffer (pH 6.0) prior to IHC staining.