Serum Amyloid A1 Protein (SAA1) is an acute phase apolipoprotein reactant that is produced predominantly by hepatocytes and is under the regulation of inflammatory cytokines. SAA is produced mainly in the liver and circulates in low levels in the blood. SAA may play a role in the immune system and facilitate the repair of injured tissues, it also acts as an antibacterial agent, and signals the migration of germ-fighting cells to sites of infection. SAA also functions as an apolipoprotein of the HDL complex. The SAA cleavage product designated amyloid protein A is deposited systemically as amyloid in vital organs such as the liver, spleen, and kidneys in chronic inflammatory diseases patients. These deposits are extremely insoluble and resistant to proteolysis; they disrupt tissue structure and compromise performance.
Product Name:
Human Serum Amyloid A1/SAA1 Recombinant Protein (RPES4867)
Product Code:
RPES4867
Size:
10µg
Species:
Human
Expressed Host:
E.coli
Synonyms:
Serum Amyloid A-1 Protein, SAA, SAA1
Accession:
P0DJI8
Sequence:
Arg19-Tyr122
Fusion tag:
N-6His
Endotoxin:
<1.0 EU per µg as determined by the LAL method.
Protein Construction:
Recombinant Human Serum Amyloid A1 Protein is produced by our E.coli expression system and the target gene encoding Arg19-Tyr122 is expressed with a 6His tag at the N-terminus.
Purity:
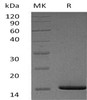
> 95 % as determined by reducing SDS-PAGE.
Mol Mass:
13.2 kDa
AP Mol Mass:
14 kDa
Formulation:
Lyophilized from a 0.2 µm filtered solution of 20mM TrisHCl,150mM NaCl,1mM EDTA, pH 8.0.
Shipping:
This product is provided as lyophilized powder which is shipped with ice packs.
Stability and Storage:
Lyophilized proteins are stable for up to 12 months when stored at -20 to -80°C. Reconstituted protein solution can be stored at 4-8°C for 2-7 days. Aliquots of reconstituted samples are stable at < -20°C for 3 months.