The RGS20 Antibody (CAB8167) is a high-quality antibody developed for reliable detection and analysis of target proteins. The protein encoded by this gene belongs to the family of regulator of G protein signaling (RGS) proteins, which are regulatory and structural components of G protein-coupled receptor complexes. RGS proteins inhibit signal transduction by increasing the GTPase activity of G protein alpha subunits, thereby driving them into their inactive GDP-bound forms. This protein selectively binds to G(z)-alpha and G(alpha)-i2 subunits, and regulates their signaling activities. Alternatively spliced transcript variants encoding different isoforms have been found for this gene.
This antibody is validated for use in WB, ELISA applications and has demonstrated reactivity against Human, Mouse, Rat samples.
Product Name:
RGS20 Antibody
SKU:
CAB8167
Size:
100μL, 20μL
Reactivity:
Human, Mouse, Rat
Conjugate:
Unconjugated
Immunogen:
Recombinant protein (or fragment).This information is considered to be commercially sensitive.
Tested Applications:
WBELISA
Recommended Dilution:
WB
1:500 - 1:2000
ELISA
Recommended starting concentration is 1 μg/mL. Please optimize the concentration based on your specific assay requirements.
The protein encoded by this gene belongs to the family of regulator of G protein signaling (RGS) proteins, which are regulatory and structural components of G protein-coupled receptor complexes. RGS proteins inhibit signal transduction by increasing the GTPase activity of G protein alpha subunits, thereby driving them into their inactive GDP-bound forms. This protein selectively binds to G(z)-alpha and G(alpha)-i2 subunits, and regulates their signaling activities. Alternatively spliced transcript variants encoding different isoforms have been found for this gene.
Purification Method
Affinity purification
Gene ID
8601
RRID
AB_2772001
Buffer Information
Store at -20℃. Avoid freeze / thaw cycles. Buffer: PBS containing 50% glycerol, preserved with proclin300 or sodium azide, pH 7.3.
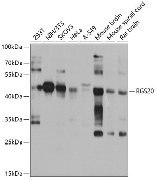
Western blot analysis of various lysates using RGS20 Rabbit pAb (CAB8167) at 1:1000 dilution. Secondary antibody: HRP-conjugated Goat anti-Rabbit IgG (H+L) (AS014) at 1:10000 dilution. Lysates/proteins: 25μg per lane. Blocking buffer: 3% nonfat dry milk in TBST. Detection: ECL Basic Kit (AbGn00020). Exposure time: 15s.