The RPP30 Antibody (CAB8479) is a high-quality antibody developed for reliable detection and analysis of target proteins. Enables ribonuclease P RNA binding activity. Contributes to ribonuclease P activity. Involved in tRNA 5'-leader removal. Part of multimeric ribonuclease P complex and ribonuclease MRP complex.
This antibody is validated for use in WB, IHC-P, ELISA applications and has demonstrated reactivity against Human, Mouse, Rat samples.
Product Name:
RPP30 Antibody
SKU:
CAB8479
Size:
100μL, 20μL
Reactivity:
Human, Mouse, Rat
Conjugate:
Unconjugated
Immunogen:
Recombinant protein (or fragment).This information is considered to be commercially sensitive.
Tested Applications:
WBIHC-PELISA
Recommended Dilution:
WB
1:500 - 1:2000
IHC-P
1:100 - 1:200
ELISA
Recommended starting concentration is 1 μg/mL. Please optimize the concentration based on your specific assay requirements.
Synonyms:
TSG15, RPP30
Positive Sample:
HeLa, Jurkat, HT-1080, HepG2
Cellular Localization:
Nucleus, Nucleolus.
Calculated MW:
29kDa
Observed MW:
29kDa
Enables ribonuclease P RNA binding activity. Contributes to ribonuclease P activity. Involved in tRNA 5'-leader removal. Part of multimeric ribonuclease P complex and ribonuclease MRP complex.
Purification Method
Affinity purification
Gene ID
10556
RRID
AB_2772090
Buffer Information
Store at -20℃. Avoid freeze / thaw cycles. Buffer: PBS containing 50% glycerol, preserved with proclin300 or sodium azide, pH 7.3.
Western blot analysis of various lysates using RPP30 Rabbit pAb (CAB8479) at 1:1000 dilution. Secondary antibody: HRP-conjugated Goat anti-Rabbit IgG (H+L) (AS014) at 1:10000 dilution. Lysates/proteins: 25μg per lane. Blocking buffer: 3% nonfat dry milk in TBST. Detection: ECL Basic Kit (AbGn00020). Exposure time: 90s.
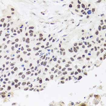
Immunohistochemistry analysis of paraffin-embedded Human lung cancer using RPP30 Rabbit pAb (CAB8479) at dilution of 1:100 (40x lens). Microwave antigen retrieval performed with 0.01M PBS Buffer (pH 7.2) prior to IHC staining.