null

SDHA Rabbit Monoclonal Antibody (CAB13852)

(No reviews yet) Write a Review
SKU:
CAB13852
Product Type:
Antibody
Antibody Type:
Monoclonal Antibody
Reactivity:
Human Mouse Rat
Host Species:
Rabbit
Synonyms:
FP PGL5 SDH1 SDH2 SDHF CMD1GG MC2DN1 NDAXOA SDHA
€131 - €457
Frequently bought together:

Description

system_update_altDatasheetsystem_update_altMSDS

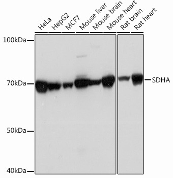
SDHA Monoclonal Antibody (CAB13852)

The SDHA Monoclonal Antibody (CAB13852) is a high-quality antibody developed for reliable detection and analysis of target proteins. This gene encodes a major catalytic subunit of succinate-ubiquinone oxidoreductase, a complex of the mitochondrial respiratory chain. The complex is composed of four nuclear-encoded subunits and is localized in the mitochondrial inner membrane. Mutations in this gene have been associated with a form of mitochondrial respiratory chain deficiency known as Leigh Syndrome. A pseudogene has been identified on chromosome 3q29. Alternatively spliced transcript variants encoding different isoforms have been found for this gene. RRID AB_2861697 Gene ID 6389 Swiss Prot Synonym FP; PGL5; SDH1; SDH2; SDHF; CMD1GG; MC2DN1; NDAXOA; SDHA

This antibody is validated for use in WB, IF/ICC, ELISA, IF-P applications and has demonstrated reactivity against Human, Mouse, Rat samples.

0 Reviews

View AllClose