The Septin 8 Antibody (CAB15011) is a high-quality antibody developed for reliable detection and analysis of target proteins. This gene is a member of the septin family of nucleotide binding proteins, originally described in yeast as cell division cycle regulatory proteins. Septins are highly conserved in yeast, Drosophila, and mouse, and appear to regulate cytoskeletal organization. Disruption of septin function disturbs cytokinesis and results in large multinucleate or polyploid cells. Multiple alternatively spliced transcript variants encoding different isoforms have been found for this gene. RRID AB_2761892 Gene ID 23176 Swiss Prot Synonym SEP2; SEPT8; Septin 8
This antibody is validated for use in WB, IHC-P, IF/ICC, ELISA applications and has demonstrated reactivity against Human, Mouse, Rat samples.
Product Name:
Septin 8 Antibody
SKU:
CAB15011
Size:
100μL, 20μL
Reactivity:
Human, Mouse, Rat
Clone Number:
-
Conjugate:
Unconjugated
Immunogen:
Recombinant protein (or fragment).This information is considered to be commercially sensitive.
Tested Applications:
WBIHC-PIF/ICCELISA
Recommended Dilution:
WB
1:500 - 1:1000
IHC-P
1:50 - 1:200
IF
/
ICC
1:50 - 1:200
ELISA
Recommended starting concentration is 1 μg/mL. Please optimize the concentration based on your specific assay requirements.
Synonyms:
SEP2, SEPT8, Septin 8
Positive Sample:
K-562, HeLa, PC-3(negative), Mouse brain, Mouse heart, Rat brain, Rat lung
Cellular Localization:
Cytoplasm, Cytoskeleton.
Calculated MW:
56kDa
Observed MW:
54kDa
This gene is a member of the septin family of nucleotide binding proteins, originally described in yeast as cell division cycle regulatory proteins. Septins are highly conserved in yeast, Drosophila, and mouse, and appear to regulate cytoskeletal organization. Disruption of septin function disturbs cytokinesis and results in large multinucleate or polyploid cells. Multiple alternatively spliced transcript variants encoding different isoforms have been found for this gene. RRID AB_2761892 Gene ID 23176 Swiss Prot Synonym SEP2; SEPT8; Septin 8
Purification Method:
Affinity purification
Gene ID:
23176
RRID:
AB_2761892
Buffer Information:
Store at -20℃. Avoid freeze / thaw cycles. Buffer: PBS with 0.01% thimerosal,50% glycerol,pH7.3.
Western blot analysis of various lysates using Septin 8 Rabbit pAb (CAB15011) at 1:1000 dilution. Secondary antibody: HRP-conjugated Goat anti-Rabbit IgG (H+L) (AS014) at 1:10000 dilution. Lysates/proteins: 25μg per lane. Blocking buffer: 3% nonfat dry milk in TBST. Detection: ECL Basic Kit (AbGn00020). Exposure time: 10s.
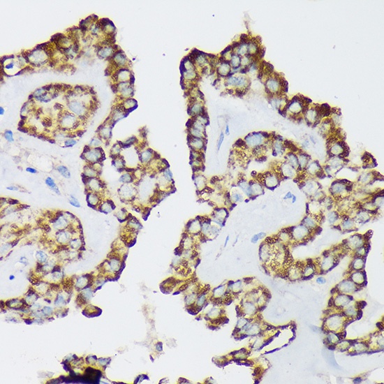
Immunohistochemistry analysis of paraffin-embedded Human thyroid cancer using Septin 8 Rabbit pAb (CAB15011) at dilution of 1:100 (40x lens). Microwave antigen retrieval performed with 0.01M PBS Buffer (pH 7.2) prior to IHC staining.
Immunofluorescence analysis of L929 cells using Septin 8 Rabbit pAb (CAB15011) at dilution of 1:100. Secondary antibody: Cy3-conjugated Goat anti-Rabbit IgG (H+L) (AS007) at 1:500 dilution. Blue: DAPI for nuclear staining.
Immunofluorescence analysis of U-2 OS cells using Septin 8 Rabbit pAb (CAB15011) at dilution of 1:100. Secondary antibody: Cy3-conjugated Goat anti-Rabbit IgG (H+L) (AS007) at 1:500 dilution. Blue: DAPI for nuclear staining.