The SHBG Antibody (CAB7450) is a high-quality antibody developed for reliable detection and analysis of target proteins. This gene encodes a steroid binding protein that was first described as a plasma protein secreted by the liver but is now thought to participate in the regulation of steroid responses. The encoded protein transports androgens and estrogens in the blood, binding each steroid molecule as a dimer formed from identical or nearly identical monomers. Polymorphisms in this gene have been associated with polycystic ovary syndrome and type 2 diabetes mellitus. Alternative splicing results in multiple transcript variants.
This antibody is validated for use in WB, IHC-P, ELISA applications and has demonstrated reactivity against Human, Mouse, Rat samples.
Product Name:
SHBG Antibody
SKU:
CAB7450
Size:
100μL, 20μL
Reactivity:
Human, Mouse, Rat
Conjugate:
Unconjugated
Immunogen:
Recombinant protein (or fragment).This information is considered to be commercially sensitive.
Tested Applications:
WBIHC-PELISA
Recommended Dilution:
WB
1:500 - 1:2000
IHC-P
1:100 - 1:200
ELISA
Recommended starting concentration is 1 μg/mL. Please optimize the concentration based on your specific assay requirements.
Synonyms:
ABP, SBP, TEBG, SHBG
Positive Sample:
A-549, Human placenta, Mouse testis
Cellular Localization:
Secreted.
Calculated MW:
44kDa
Observed MW:
44kDa
This gene encodes a steroid binding protein that was first described as a plasma protein secreted by the liver but is now thought to participate in the regulation of steroid responses. The encoded protein transports androgens and estrogens in the blood, binding each steroid molecule as a dimer formed from identical or nearly identical monomers. Polymorphisms in this gene have been associated with polycystic ovary syndrome and type 2 diabetes mellitus. Alternative splicing results in multiple transcript variants.
Purification Method
Affinity purification
Gene ID
6462
RRID
AB_2767981
Buffer Information
Store at -20℃. Avoid freeze / thaw cycles. Buffer: PBS containing 50% glycerol, preserved with proclin300 or sodium azide, pH 7.3.
Western blot analysis of various lysates using SHBG Rabbit pAb (CAB7450) at 1:1000 dilution. Secondary antibody: HRP-conjugated Goat anti-Rabbit IgG (H+L) (AS014) at 1:10000 dilution. Lysates/proteins: 25μg per lane. Blocking buffer: 3% nonfat dry milk in TBST. Detection: ECL Basic Kit (AbGn00020). Exposure time: 30s.
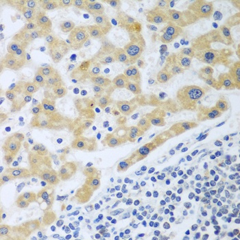
Immunohistochemistry analysis of paraffin-embedded Human liver cancer using SHBG Rabbit pAb (CAB7450) at dilution of 1:100 (40x lens). Microwave antigen retrieval performed with 0.01M PBS Buffer (pH 7.2) prior to IHC staining.