The SKIV2L2 Antibody (CAB5576) is a high-quality antibody developed for reliable detection and analysis of target proteins. Enables ATP binding activity and RNA helicase activity. Involved in RNA catabolic process; cellular response to DNA damage stimulus; and maturation of 5.8S rRNA. Located in nucleoplasm. Part of TRAMP complex and catalytic step 2 spliceosome. Colocalizes with nuclear exosome (RNase complex). Biomarker of amyotrophic lateral sclerosis.
This antibody is validated for use in WB, IHC-P, IP, ELISA applications and has demonstrated reactivity against Human, Mouse, Rat samples.
Product Name:
SKIV2L2 Antibody
SKU:
CAB5576
Size:
100μL, 20μL
Reactivity:
Human, Mouse, Rat
Conjugate:
Unconjugated
Immunogen:
Recombinant protein (or fragment).This information is considered to be commercially sensitive.
Tested Applications:
WBIHC-PIPELISA
Recommended Dilution:
WB
1:500 - 1:2000
IHC-P
1:50 - 1:200
IP
0.5μg-4μg antibody for 200μg-400μg extracts of whole cells
ELISA
Recommended starting concentration is 1 μg/mL. Please optimize the concentration based on your specific assay requirements.
Enables ATP binding activity and RNA helicase activity. Involved in RNA catabolic process; cellular response to DNA damage stimulus; and maturation of 5.8S rRNA. Located in nucleoplasm. Part of TRAMP complex and catalytic step 2 spliceosome. Colocalizes with nuclear exosome (RNase complex). Biomarker of amyotrophic lateral sclerosis.
Purification Method
Affinity purification
Gene ID
23517
RRID
AB_2766353
Buffer Information
Store at -20℃. Avoid freeze / thaw cycles. Buffer: PBS containing 50% glycerol, preserved with proclin300 or sodium azide, pH 7.3.
Western blot analysis of various lysates using SKIV2L2 Rabbit pAb (CAB5576) at 1:1000 dilution. Secondary antibody: HRP-conjugated Goat anti-Rabbit IgG (H+L) (AS014) at 1:10000 dilution. Lysates/proteins: 25μg per lane. Blocking buffer: 3% nonfat dry milk in TBST. Detection: ECL Basic Kit (AbGn00020). Exposure time: 60s.
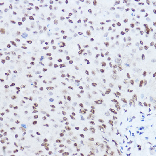
Immunohistochemistry analysis of paraffin-embedded Human breast cancer using SKIV2L2 Rabbit pAb (CAB5576) at dilution of 1:50 (40x lens). High pressure antigen retrieval performed with 0.01M Citrate buffer (pH 6.0) prior to IHC staining.
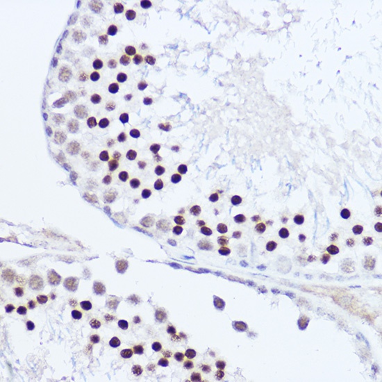
Immunohistochemistry analysis of paraffin-embedded Rat testis using SKIV2L2 Rabbit pAb (CAB5576) at dilution of 1:50 (40x lens). High pressure antigen retrieval performed with 0.01M Citrate buffer (pH 6.0) prior to IHC staining.
Immunoprecipitation analysis of 300 μg extracts of 293T cells using 3 μg SKIV2L2 antibody (CAB5576). Western blot was performed from the immunoprecipitate using SKIV2L2 antibody (CAB5576) at a dilution of 1:500.