The TADA3 Antibody (CAB6224) is a high-quality antibody developed for reliable detection and analysis of target proteins. DNA-binding transcriptional activator proteins increase the rate of transcription by interacting with the transcriptional machinery bound to the basal promoter in conjunction with adaptor proteins, possibly by acetylation and destabilization of nucleosomes. The protein encoded by this gene is a transcriptional activator adaptor and a component of the histone acetyl transferase (HAT) coactivator complex which plays a crucial role in chromatin modulation and cell cycle progression. Along with the other components of the complex, this protein links transcriptional activators bound to specific promoters, to histone acetylation and the transcriptional machinery. The protein is also involved in the stabilization and activation of the p53 tumor suppressor protein that plays a role in the cellular response to DNA damage. Alternate splicing results in multiple transcript variants of this gene.
This antibody is validated for use in WB, IF/ICC, ELISA applications and has demonstrated reactivity against Human, Mouse, Rat samples.
Product Name:
TADA3 Antibody
SKU:
CAB6224
Size:
100μL, 20μL
Reactivity:
Human, Mouse, Rat
Conjugate:
Unconjugated
Immunogen:
Recombinant protein (or fragment).This information is considered to be commercially sensitive.
Tested Applications:
WBIF/ICCELISA
Recommended Dilution:
WB
1:500 - 1:2000
IF/ICC
1:50 - 1:200
ELISA
Recommended starting concentration is 1 μg/mL. Please optimize the concentration based on your specific assay requirements.
Synonyms:
ADA3, NGG1, hADA3, STAF54, TADA3L, TADA3
Positive Sample:
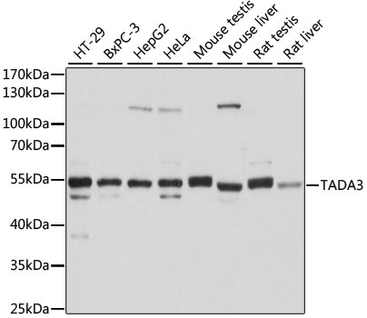
HT-29, BxPC-3, HepG2, HeLa, Mouse testis, Mouse liver, Rat testis, Rat liver
Cellular Localization:
Nucleus.
Calculated MW:
49kDa
Observed MW:
55kDa
DNA-binding transcriptional activator proteins increase the rate of transcription by interacting with the transcriptional machinery bound to the basal promoter in conjunction with adaptor proteins, possibly by acetylation and destabilization of nucleosomes. The protein encoded by this gene is a transcriptional activator adaptor and a component of the histone acetyl transferase (HAT) coactivator complex which plays a crucial role in chromatin modulation and cell cycle progression. Along with the other components of the complex, this protein links transcriptional activators bound to specific promoters, to histone acetylation and the transcriptional machinery. The protein is also involved in the stabilization and activation of the p53 tumor suppressor protein that plays a role in the cellular response to DNA damage. Alternate splicing results in multiple transcript variants of this gene.
Purification Method
Affinity purification
Gene ID
10474
RRID
AB_2766833
Buffer Information
Store at -20℃. Avoid freeze / thaw cycles. Buffer: PBS containing 50% glycerol, preserved with proclin300 or sodium azide, pH 7.3.
Western blot analysis of various lysates using TADA3 Rabbit pAb (CAB6224) at 1:1000 dilution. Secondary antibody: HRP-conjugated Goat anti-Rabbit IgG (H+L) (AS014) at 1:10000 dilution. Lysates/proteins: 25μg per lane. Blocking buffer: 3% nonfat dry milk in TBST. Detection: ECL Basic Kit (AbGn00020). Exposure time: 10s.
Immunofluorescence analysis of C6 cells using TADA3 Rabbit pAb (CAB6224) at dilution of 1:100. Secondary antibody: Cy3-conjugated Goat anti-Rabbit IgG (H+L) (AS007) at 1:500 dilution. Blue: DAPI for nuclear staining.