Description
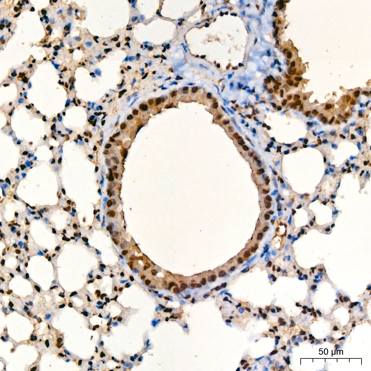
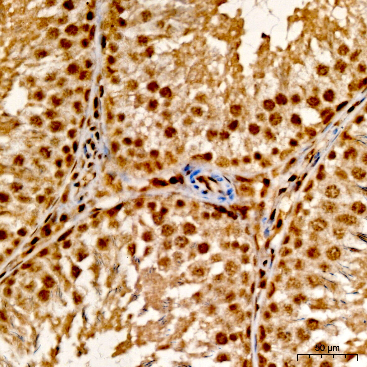
Anti-TFEB Antibody (CAB7311)
The TFEB Polyclonal Antibody (CAB7311) is a crucial tool for researchers studying TFEB, a transcription factor essential for regulating lysosomal biogenesis and autophagy. This antibody is raised in rabbits and exhibits high reactivity with human samples, making it a reliable choice for immunofluorescence and immunohistochemistry applications. By specifically binding to TFEB protein, this antibody allows for precise detection and analysis in a variety of cell types, offering valuable insights into cellular processes related to lysosomal function and autophagy regulation.TFEB, also known as transcription factor EB, plays a key role in coordinating the expression of genes involved in lysosome formation and autophagy initiation, impacting various cellular functions such as protein degradation and energy metabolism.
Dysregulation of TFEB activity has been linked to diseases like neurodegeneration, metabolic disorders, and cancer, highlighting its importance in maintaining cellular homeostasis. By studying TFEB with the help of this antibody, researchers can deepen their understanding of the molecular mechanisms underlying these diseases and potentially uncover new therapeutic targets for intervention.
| Antibody Name: | Anti-TFEB Antibody |
| Antibody SKU: | CAB7311 |
| Antibody Size: | 20uL, 50uL, 100uL |
| Application: | WB IHC IF |
| Reactivity: | Human, Mouse, Rat |
| Host Species: | Rabbit |
| Immunogen: | Recombinant protein of human TFEB. |
| Application: | WB IHC IF |
| Recommended Dilution: | WB 1:500 - 1:2000 IHC 1:50 - 1:200 IF 1:50 - 1:200 |
| Reactivity: | Human, Mouse, Rat |
| Positive Samples: | Raji, NIH/3T3, mouse spleen, mouse kidney, rat brain, rat spleen |
| Immunogen: | Recombinant protein of human TFEB. |
| Purification Method: | Affinity purification |
| Storage Buffer: | Store at -20'C. Avoid freeze / thaw cycles. Buffer: PBS with 0.02% sodium azide, 50% glycerol, pH7.3. |
| Isotype: | IgG |
| Sequence: | Email for sequence |
| Gene ID: | 7942 |
| Uniprot: | P19484 |
| Cellular Location: | Cytoplasm, Nucleus |
| Calculated MW: | 43kDa/52kDa |
| Observed MW: | 70kDa |
| Synonyms: | TFEB, ALPHATFEB, BHLHE35, TCFEB |
| Background: |
| UniProt Protein Function: | TFEB: Transcription factor that specifically recognizes and binds E-box sequences (3'-CANNTG-5'). Efficient DNA-binding requires dimerization with itself or with another MiT/TFE family member such as TFE3 or MITF. In association with TFE3, activates the expression of CD40L in T-cells, thereby playing a role in T- cell-dependent antibody responses in activated CD4(+) T-cells and thymus-dependent humoral immunity. Specifically recognizes and binds the CLEAR-box sequence (5'-GTCACGTGAC-3') present in the regulatory region of many lysosomal genes, leading to activate their expression. It thereby plays a central role in expression of lysosomal genes. Specifically recognizes the gamma-E3 box, a subset of E-boxes, present in the heavy-chain immunoglobulin enhancer. Plays a role in the signal transduction processes required for normal vascularization of the placenta. Homodimer and heterodimer; with TFE3 or MITF. Belongs to the MiT/TFE family. 2 isoforms of the human protein are produced by alternative splicing. |
| UniProt Protein Details: | Protein type:DNA-binding Chromosomal Location of Human Ortholog: 6p21 Cellular Component: cytoplasm; nucleus Molecular Function:transcription factor activity Biological Process: embryonic placenta development; humoral immune response; lysosome organization and biogenesis; positive regulation of autophagy; positive regulation of transcription from RNA polymerase II promoter |
| UniProt Code: | P19484 |
| NCBI GenInfo Identifier: | 19856774 |
| NCBI Gene ID: | 7942 |
| NCBI Accession: | P19484.3 |
| UniProt Secondary Accession: | P19484,Q709B3, Q7Z6P9, Q9BRJ5, Q9UJD8, |
| UniProt Related Accession: | P19484 |
| Molecular Weight: | 43,803 Da |
| NCBI Full Name: | Transcription factor EB |
| NCBI Synonym Full Names: | transcription factor EB |
| NCBI Official Symbol: | TFEBÂ Â |
| NCBI Official Synonym Symbols: | TCFEB; BHLHE35; ALPHATFEBÂ Â |
| NCBI Protein Information: | transcription factor EB |
| UniProt Protein Name: | Transcription factor EB |
| UniProt Synonym Protein Names: | Class E basic helix-loop-helix protein 35; bHLHe35 |
| Protein Family: | Transcription factor |
| UniProt Gene Name: | TFEBÂ Â |
| UniProt Entry Name: | TFEB_HUMAN |




