The RUVBL1/TIP49A/PONTIN Monoclonal Antibody (CAB5180) is a high-quality antibody developed for reliable detection and analysis of target proteins. This gene encodes a protein that has both DNA-dependent ATPase and DNA helicase activities and belongs to the ATPases associated with diverse cellular activities (AAA+) protein family. The encoded protein associates with several multisubunit transcriptional complexes and with protein complexes involved in both ATP-dependent remodeling and histone modification. Alternate splicing results in multiple transcript variants.
This antibody is validated for use in WB, IHC-P, ChIP, ELISA applications and has demonstrated reactivity against Human, Mouse, Rat samples.
Product Name:
RUVBL1/TIP49A/PONTIN Monoclonal Antibody
SKU:
CAB5180
Size:
100μL, 20μL
Reactivity:
Human, Mouse, Rat
Clone Number:
ARC1247
Conjugate:
Unconjugated
Immunogen:
Synthetic peptide. This information is considered to be commercially sensitive.
Tested Applications:
WBIHC-PChIPELISA
Recommended Dilution:
WB
1:500 - 1:2000
IHC-P
1:50 - 1:200
ChIP
5μg antibody for 10μg-15μg of Chromatin
ELISA
Recommended starting concentration is 1 μg/mL. Please optimize the concentration based on your specific assay requirements.
This gene encodes a protein that has both DNA-dependent ATPase and DNA helicase activities and belongs to the ATPases associated with diverse cellular activities (AAA+) protein family. The encoded protein associates with several multisubunit transcriptional complexes and with protein complexes involved in both ATP-dependent remodeling and histone modification. Alternate splicing results in multiple transcript variants.
Purification Method
Affinity purification
Gene ID
8607
RRID
AB_2863477
Buffer Information
Store at -20℃. Avoid freeze / thaw cycles. Buffer: PBS containing 50% glycerol and 0.05% BSA, preserved with proclin300 or sodium azide, pH 7.3.
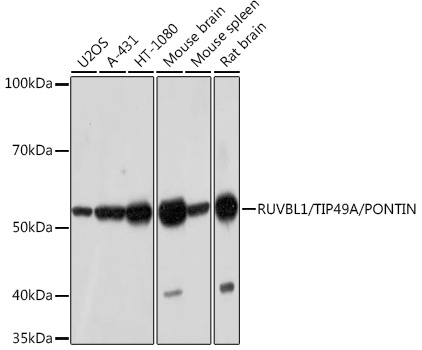
Western blot analysis of various lysates using RUVBL1/TIP49A/PONTIN Rabbit mAb (CAB5180) at 1:1000 dilution. Secondary antibody: HRP-conjugated Goat anti-Rabbit IgG (H+L) (AS014) at 1:10000 dilution. Lysates/proteins: 25μg per lane. Blocking buffer: 3% nonfat dry milk in TBST. Detection: ECL Basic Kit (AbGn00020). Exposure time: 3min.
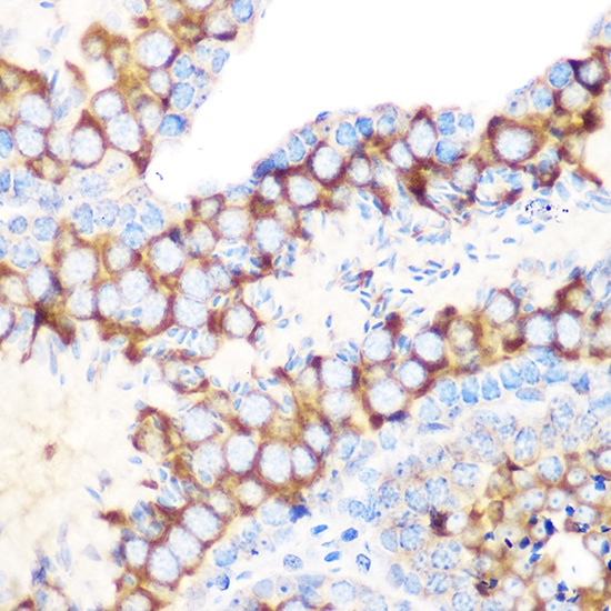
Immunohistochemistry analysis of paraffin-embedded Mouse testis using RUVBL1/TIP49A/PONTIN Rabbit mAb (CAB5180) at dilution of 1:100 (40x lens). Microwave antigen retrieval performed with 0.01M Tris/EDTA Buffer (pH 9.0) prior to IHC staining.