The Thymidine Kinase 1 Antibody (CAB5612) is a high-quality antibody developed for reliable detection and analysis of target proteins. The protein encoded by this gene is a cytosolic enzyme that catalyzes the addition of a gamma-phosphate group to thymidine. This creates dTMP and is the first step in the biosynthesis of dTTP, which is one component required for DNA replication. The encoded protein, whose levels fluctuate depending on the cell cycle stage, can act as a low activity dimer or a high activity tetramer. High levels of this protein have been used as a biomarker for diagnosing and categorizing many types of cancers. RRID AB_2766374 Gene ID 7083 Swiss Prot Synonym TK2; Thymidine Kinase 1
This antibody is validated for use in WB, IHC-P, IF/ICC, ELISA applications and has demonstrated reactivity against Human, Mouse, Rat samples.
Product Name:
Thymidine Kinase 1 Antibody
SKU:
CAB5612
Size:
100μL, 20μL
Reactivity:
Human, Mouse, Rat
Clone Number:
-
Conjugate:
Unconjugated
Immunogen:
Recombinant protein (or fragment).This information is considered to be commercially sensitive.
Tested Applications:
WBIHC-PIF/ICCELISA
Recommended Dilution:
WB
1:500 - 1:1000
IHC-P
1:50 - 1:200
IF
/
ICC
1:50 - 1:200
ELISA
Recommended starting concentration is 1 μg/mL. Please optimize the concentration based on your specific assay requirements.
Synonyms:
TK2, Thymidine Kinase 1
Positive Sample:
HeLa, 293T, Jurkat, Mouse liver, Mouse spleen, Mouse stomach, Rat liver, Rat spleen, Rat stomach
Cellular Localization:
Cytoplasm.
Calculated MW:
25kDa
Observed MW:
26kDa
The protein encoded by this gene is a cytosolic enzyme that catalyzes the addition of a gamma-phosphate group to thymidine. This creates dTMP and is the first step in the biosynthesis of dTTP, which is one component required for DNA replication. The encoded protein, whose levels fluctuate depending on the cell cycle stage, can act as a low activity dimer or a high activity tetramer. High levels of this protein have been used as a biomarker for diagnosing and categorizing many types of cancers. RRID AB_2766374 Gene ID 7083 Swiss Prot Synonym TK2; Thymidine Kinase 1
Purification Method:
Affinity purification
Gene ID:
7083
RRID:
AB_2766374
Buffer Information:
Store at -20℃. Avoid freeze / thaw cycles. Buffer: PBS containing 50% glycerol, preserved with proclin300 or sodium azide, pH 7.3.
Western blot analysis of various lysates using Thymidine Kinase 1 Rabbit pAb (CAB5612) at 1:1000 dilution. Secondary antibody: HRP-conjugated Goat anti-Rabbit IgG (H+L) (AS014) at 1:10000 dilution. Lysates/proteins: 25μg per lane. Blocking buffer: 3% nonfat dry milk in TBST. Detection: ECL Basic Kit (AbGn00020). Exposure time: 180s.
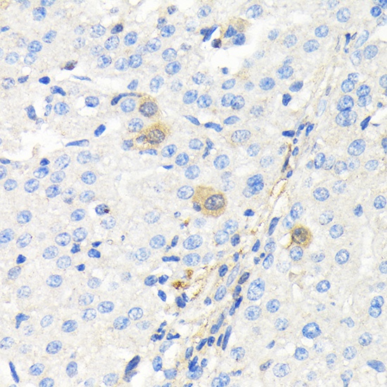
Immunohistochemistry analysis of paraffin-embedded Human liver cancer using Thymidine Kinase 1 Rabbit pAb (CAB5612) at dilution of 1:100 (40x lens). Microwave antigen retrieval performed with 0.01M Tris/EDTA Buffer (pH 9.0) prior to IHC staining.
Immunofluorescence analysis of MCF7 cells using Thymidine Kinase 1 Rabbit pAb (CAB5612) at dilution of 1:100 (40x lens). Secondary antibody: Cy3-conjugated Goat anti-Rabbit IgG (H+L) (AS007) at 1:500 dilution. Blue: DAPI for nuclear staining.
Immunofluorescence analysis of NIH/3T3 cells using Thymidine Kinase 1 Rabbit pAb (CAB5612) at dilution of 1:100 (40x lens). Secondary antibody: Cy3-conjugated Goat anti-Rabbit IgG (H+L) (AS007) at 1:500 dilution. Blue: DAPI for nuclear staining.