The TMEM132D Polyclonal Antibody (CAB16164) is specifically designed for research involving the TMEM132D protein, a transmembrane protein involved in various cellular processes. This high-quality antibody is produced in rabbits and exhibits high reactivity with human samples, making it a reliable tool for immunohistochemistry and Western blot applications.TMEM132D, also known as transmembrane protein 132D, plays a crucial role in cell signaling and communication within the body. Studies have shown its involvement in neurological disorders, such as schizophrenia and bipolar disorder, highlighting its importance in understanding brain function and mental health conditions.
By targeting the TMEM132D protein, researchers can further explore its functions and potential implications in disease mechanisms. This antibody allows for the detection and analysis of TMEM132D expression in various cell types, providing valuable insights for studies in neuroscience, psychiatric disorders, and drug development. Unlocking the mysteries of TMEM132D could pave the way for innovative therapeutic strategies targeting neurological and psychiatric conditions.
Product Name:
TMEM132D Rabbit Polyclonal Antibody
SKU:
CAB16164
Size:
20uL, 100uL
Isotype:
IgG
Host Species:
Rabbit
Reactivity:
Human,Mouse,Rat
Immunogen:
Recombinant fusion protein containing a sequence corresponding to amino acids 730-915 of human TMEM132D (NP_597705.2).
May serve as a cell-surface marker for oligodendrocyte differentiation.
Purification Method:
Affinity purification
Gene ID:
121256
Storage Buffer:
Store at -20℃. Avoid freeze / thaw cycles.Buffer: PBS with 0.01% thimerosal,50% glycerol,pH7.3.
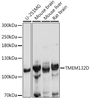
Western blot analysis of various lysates using TMEM132D Rabbit pAb (CAB16164) at 1:1000 dilution.Secondary antibody: HRP Goat Anti-Rabbit IgG (H+L) (CABS014) at 1:10000 dilution.Lysates/proteins: 25μg per lane.Blocking buffer: 3% nonfat dry milk in TBST.Detection: ECL Basic Kit (AbGn00020).Exposure time: 1s.