The TWF1 Antibody (CAB15307) is a high-quality antibody developed for reliable detection and analysis of target proteins. This gene encodes twinfilin, an actin monomer-binding protein conserved from yeast to mammals. Studies of the mouse counterpart suggest that this protein may be an actin monomer-binding protein, and its localization to cortical G-actin-rich structures may be regulated by the small GTPase RAC1. RRID AB_2762208 Gene ID 5756 Swiss Prot Synonym A6; PTK9; TWF1
This antibody is validated for use in WB, ELISA applications and has demonstrated reactivity against Human, Mouse samples.
Product Name:
TWF1 Antibody
SKU:
CAB15307
Size:
100μL, 20μL
Reactivity:
Human, Mouse
Clone Number:
-
Conjugate:
Unconjugated
Immunogen:
Recombinant protein (or fragment).This information is considered to be commercially sensitive.
Tested Applications:
WBELISA
Recommended Dilution:
WB
1:200 - 1:2000
ELISA
Recommended starting concentration is 1 μg/mL. Please optimize the concentration based on your specific assay requirements.
This gene encodes twinfilin, an actin monomer-binding protein conserved from yeast to mammals. Studies of the mouse counterpart suggest that this protein may be an actin monomer-binding protein, and its localization to cortical G-actin-rich structures may be regulated by the small GTPase RAC1. RRID AB_2762208 Gene ID 5756 Swiss Prot Synonym A6; PTK9; TWF1
Purification Method:
Affinity purification
Gene ID:
5756
RRID:
AB_2762208
Buffer Information:
Store at -20℃. Avoid freeze / thaw cycles. Buffer: PBS with 0.01% thimerosal,50% glycerol,pH7.3.
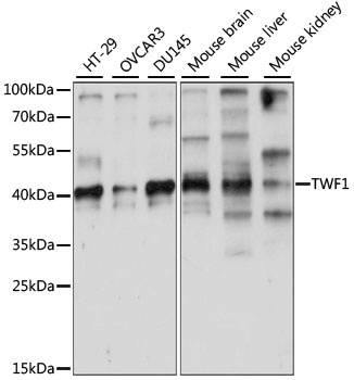
Western blot analysis of various lysates using TWF1 Rabbit pAb (CAB15307) at 1:1000 dilution. Secondary antibody: HRP-conjugated Goat anti-Rabbit IgG (H+L) (AS014) at 1:10000 dilution. Lysates/proteins: 25μg per lane. Blocking buffer: 3% nonfat dry milk in TBST. Detection: ECL Basic Kit (AbGn00020). Exposure time: 1s.