The WBSCR27 Antibody (CAB16176) is a high-quality antibody developed for reliable detection and analysis of target proteins. This gene encodes a protein belonging to ubiE/COQ5 methyltransferase family. The gene is deleted in Williams syndrome, a multisystem developmental disorder caused by the deletion of contiguous genes at 7q11.22-q11.23. RRID AB_2763626 Gene ID 155368 Swiss Prot Synonym WBSCR27
This antibody is validated for use in WB, IHC-P, ELISA applications and has demonstrated reactivity against Human, Mouse, Rat samples.
Product Name:
WBSCR27 Antibody
SKU:
CAB16176
Size:
100μL, 20μL
Reactivity:
Human, Mouse, Rat
Clone Number:
-
Conjugate:
Unconjugated
Immunogen:
Recombinant protein (or fragment).This information is considered to be commercially sensitive.
Tested Applications:
WBIHC-PELISA
Recommended Dilution:
WB
1:500 - 1:2000
IHC-P
1:50 - 1:200
ELISA
Recommended starting concentration is 1 μg/mL. Please optimize the concentration based on your specific assay requirements.
Synonyms:
WBSCR27
Positive Sample:
HT-29, MCF7, Mouse lung
Cellular Localization:
-
Calculated MW:
27kDa
Observed MW:
26kDa
This gene encodes a protein belonging to ubiE/COQ5 methyltransferase family. The gene is deleted in Williams syndrome, a multisystem developmental disorder caused by the deletion of contiguous genes at 7q11.22-q11.23. RRID AB_2763626 Gene ID 155368 Swiss Prot Synonym WBSCR27
Purification Method:
Affinity purification
Gene ID:
155368
RRID:
AB_2763626
Buffer Information:
Store at -20℃. Avoid freeze / thaw cycles. Buffer: PBS with 0.01% thimerosal,50% glycerol,pH7.3.
Western blot analysis of various lysates using WBSCR27 Rabbit pAb (CAB16176) at 1:1000 dilution. Secondary antibody: HRP-conjugated Goat anti-Rabbit IgG (H+L) (AS014) at 1:10000 dilution. Lysates/proteins: 25μg per lane. Blocking buffer: 3% nonfat dry milk in TBST. Detection: ECL Basic Kit (AbGn00020). Exposure time: 15s.
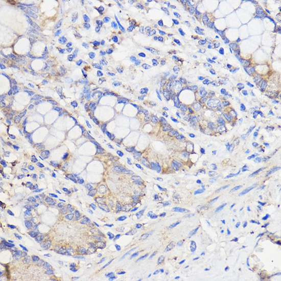
Immunohistochemistry analysis of paraffin-embedded Human colon using WBSCR27 Rabbit pAb (CAB16176) at dilution of 1:50 (40x lens). Microwave antigen retrieval performed with 0.01M PBS Buffer (pH 7.2) prior to IHC staining.
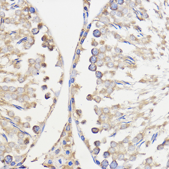
Immunohistochemistry analysis of paraffin-embedded Rat testis using WBSCR27 Rabbit pAb (CAB16176) at dilution of 1:50 (40x lens). Microwave antigen retrieval performed with 0.01M PBS Buffer (pH 7.2) prior to IHC staining.