null

ACSL3 Rabbit Polyclonal Antibody (CAB11679)

(No reviews yet) Write a Review
SKU:
CAB11679
Product Type:
Antibody
Antibody Type:
Polyclonal Antibody
Reactivity:
Human Mouse Rat
Host Species:
Rabbit
Synonyms:
ACS3 FACL3 LACS3 LACS 3 PRO2194 ACSL3
  • Metabolism Antibodies 1 Anti-ACSL3 Antibody CAB11679
  • Metabolism Antibodies 1 Anti-ACSL3 Antibody CAB11679
  • Metabolism Antibodies 1 Anti-ACSL3 Antibody CAB11679
  • Metabolism Antibodies 1 Anti-ACSL3 Antibody CAB11679
  • Metabolism Antibodies 1 Anti-ACSL3 Antibody CAB11679
€96 - €370
Frequently bought together:

Description

system_update_altDatasheetsystem_update_altMSDS

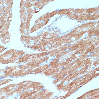
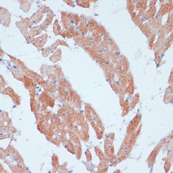
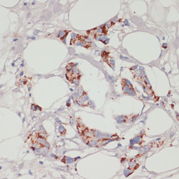
ACSL3 Antibody (CAB11679)

The ACSL3 Antibody (CAB11679) is a high-quality antibody developed for reliable detection and analysis of target proteins. The protein encoded by this gene is an isozyme of the long-chain fatty-acid-coenzyme A ligase family. Although differing in substrate specificity, subcellular localization, and tissue distribution, all isozymes of this family convert free long-chain fatty acids into fatty acyl-CoA esters, and thereby play a key role in lipid biosynthesis and fatty acid degradation. This isozyme is highly expressed in brain, and preferentially utilizes myristate, arachidonate, and eicosapentaenoate as substrates. The amino acid sequence of this isozyme is 92% identical to that of rat homolog. Two transcript variants encoding the same protein have been found for this gene. RRID AB_2758682 Gene ID 2181 Swiss Prot Synonym ACS3; FACL3; LACS3; LACS 3; PRO2194; ACSL3

This antibody is validated for use in WB, IHC-P, ELISA applications and has demonstrated reactivity against Human, Mouse, Rat samples.

0 Reviews

View AllClose