The CRMP5/DPYSL5 Monoclonal Antibody (CAB3503) is a high-quality antibody developed for reliable detection and analysis of target proteins. This gene encodes a member of the CRMP (collapsing response mediator protein) family thought to be involved in neural development. Antibodies to the encoded protein were found in some patients with neurologic symptoms who had paraneoplastic syndrome. A pseudogene of this gene is found on chromosome 11. Multiple alternatively spliced variants, encoding the same protein, have been identified.
This antibody is validated for use in WB, IHC-P, ELISA applications and has demonstrated reactivity against Human, Mouse, Rat samples.
Product Name:
CRMP5/DPYSL5 Monoclonal Antibody
SKU:
CAB3503
Size:
100μL, 20μL
Reactivity:
Human, Mouse, Rat
Clone Number:
ARC2020
Conjugate:
Unconjugated
Immunogen:
Synthetic peptide. This information is considered to be commercially sensitive.
Tested Applications:
WBIHC-PELISA
Recommended Dilution:
WB
1:500 - 1:2000
IHC-P
1:50 - 1:200
ELISA
Recommended starting concentration is 1 μg/mL. Please optimize the concentration based on your specific assay requirements.
This gene encodes a member of the CRMP (collapsing response mediator protein) family thought to be involved in neural development. Antibodies to the encoded protein were found in some patients with neurologic symptoms who had paraneoplastic syndrome. A pseudogene of this gene is found on chromosome 11. Multiple alternatively spliced variants, encoding the same protein, have been identified.
Purification Method
Affinity purification
Gene ID
56896
RRID
AB_2863077
Buffer Information
Store at -20℃. Avoid freeze / thaw cycles. Buffer: PBS containing 50% glycerol and 0.05% BSA, preserved with proclin300 or sodium azide, pH 7.3.
Western blot analysis of various lysates using CRMP5/DPYSL5 Rabbit mAb (CAB3503) at 1:1000 dilution. Secondary antibody: HRP-conjugated Goat anti-Rabbit IgG (H+L) (AS014) at 1:10000 dilution. Lysates/proteins: 25μg per lane. Blocking buffer: 3% nonfat dry milk in TBST. Detection: ECL Basic Kit (AbGn00020). Exposure time: 10s.
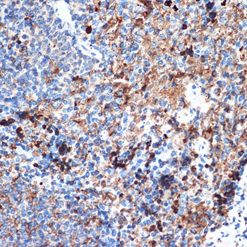
Immunohistochemistry analysis of paraffin-embedded Rat spleen using CRMP5/DPYSL5 Rabbit mAb (CAB3503) at dilution of 1:100 (40x lens). Microwave antigen retrieval performed with 0.01M Tris/EDTA Buffer (pH 9.0) prior to IHC staining.