The CCL8 Antibody (CAB6977) is a high-quality antibody developed for reliable detection and analysis of target proteins. This antimicrobial gene is one of several chemokine genes clustered on the q-arm of chromosome 17. Chemokines form a superfamily of secreted proteins involved in immunoregulatory and inflammatory processes. The superfamily is divided into four subfamilies based on the arrangement of N-terminal cysteine residues of the mature peptide. This chemokine is a member of the CC subfamily which is characterized by two adjacent cysteine residues. This cytokine displays chemotactic activity for monocytes, lymphocytes, basophils and eosinophils. By recruiting leukocytes to sites of inflammation this cytokine may contribute to tumor-associated leukocyte infiltration and to the antiviral state against HIV infection. RRID AB_2767533 Gene ID 6355 Swiss Prot Synonym HC14; MCP2; MCP-2; SCYA8; SCYA10; CCL8
This antibody is validated for use in IHC-P, ELISA applications and has demonstrated reactivity against Human, Mouse samples.
Product Name:
CCL8 Antibody
SKU:
CAB6977
Size:
100μL, 20μL
Reactivity:
Human, Mouse
Clone Number:
-
Conjugate:
Unconjugated
Immunogen:
Synthetic peptide. This information is considered to be commercially sensitive.
Tested Applications:
IHC-PELISA
Recommended Dilution:
IHC-P
1:50 - 1:100
ELISA
Recommended starting concentration is 1 μg/mL. Please optimize the concentration based on your specific assay requirements.
Synonyms:
HC14, MCP2, MCP-2, SCYA8, SCYA10, CCL8
Positive Sample:
-
Cellular Localization:
Secreted.
Calculated MW:
11kDa
Observed MW:
Refer to figures
This antimicrobial gene is one of several chemokine genes clustered on the q-arm of chromosome 17. Chemokines form a superfamily of secreted proteins involved in immunoregulatory and inflammatory processes. The superfamily is divided into four subfamilies based on the arrangement of N-terminal cysteine residues of the mature peptide. This chemokine is a member of the CC subfamily which is characterized by two adjacent cysteine residues. This cytokine displays chemotactic activity for monocytes, lymphocytes, basophils and eosinophils. By recruiting leukocytes to sites of inflammation this cytokine may contribute to tumor-associated leukocyte infiltration and to the antiviral state against HIV infection. RRID AB_2767533 Gene ID 6355 Swiss Prot Synonym HC14; MCP2; MCP-2; SCYA8; SCYA10; CCL8
Purification Method:
Affinity purification
Gene ID:
6355
RRID:
AB_2767533
Buffer Information:
Store at -20℃. Avoid freeze / thaw cycles. Buffer: PBS with 0.09% Sodium azide,50% glycerol,pH7.3.
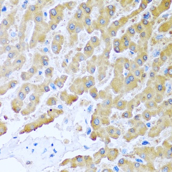
Immunohistochemistry analysis of paraffin-embedded Human liver using CCL8 Rabbit pAb (CAB6977) at dilution of 1:100 (40x lens). Microwave antigen retrieval performed with 0.01M PBS Buffer (pH 7.2) prior to IHC staining.
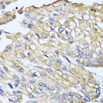
Immunohistochemistry analysis of paraffin-embedded Human prostate cancer using CCL8 Rabbit pAb (CAB6977) at dilution of 1:100 (40x lens). Microwave antigen retrieval performed with 0.01M PBS Buffer (pH 7.2) prior to IHC staining.