The cGAS Antibody (CAB8335) is a high-quality antibody developed for reliable detection and analysis of target proteins. Enables several functions, including 2',3'-cyclic GMP-AMP synthase activity; chromatin binding activity; and phosphatidylinositol-4,5-bisphosphate binding activity. Involved in several processes, including cellular response to exogenous dsRNA; positive regulation of intracellular signal transduction; and regulation of defense response. Located in several cellular components, including cytosol; nucleus; and site of double-strand break.
This antibody is validated for use in WB, IHC-P, IF/ICC, ELISA applications and has demonstrated reactivity against Human, Mouse, Rat samples.
Product Name:
cGAS Antibody
SKU:
CAB8335
Size:
100μL, 20μL
Reactivity:
Human, Mouse, Rat
Conjugate:
Unconjugated
Immunogen:
Synthetic peptide. This information is considered to be commercially sensitive.
Tested Applications:
WBIHC-PIF/ICCELISA
Recommended Dilution:
WB
1:500 - 1:1000
IHC-P
1:50 - 1:200
IF/ICC
1:50 - 1:200
ELISA
Recommended starting concentration is 1 μg/mL. Please optimize the concentration based on your specific assay requirements.
Synonyms:
MB21D1, h-cGAS, C6orf150, cGAS
Positive Sample:
HeLa, HT-29, THP-1
Cellular Localization:
Cytoplasm, Cytosol.
Calculated MW:
59 kDa
Observed MW:
62 kDa
Enables several functions, including 2',3'-cyclic GMP-AMP synthase activity; chromatin binding activity; and phosphatidylinositol-4,5-bisphosphate binding activity. Involved in several processes, including cellular response to exogenous dsRNA; positive regulation of intracellular signal transduction; and regulation of defense response. Located in several cellular components, including cytosol; nucleus; and site of double-strand break.
Purification Method
Affinity purification
Gene ID
115004
RRID
AB_2770305
Buffer Information
Store at -20℃. Avoid freeze / thaw cycles. Buffer: PBS with 0.09% Sodium azide,50% glycerol,pH7.3.
Western blot analysis of lysates from HeLa cells using cGAS Rabbit pAb (CAB8335) at 1:1000 dilution. Secondary antibody: HRP-conjugated Goat anti-Rabbit IgG (H+L) (AS014) at 1:10000 dilution. Lysates/proteins: 25 μg per lane. Blocking buffer: 3% nonfat dry milk in TBST. Detection: ECL Basic Kit (AbGn00020). Exposure time: 30s.
Western blot analysis of lysates from HT-29 cells using cGAS Rabbit pAb (CAB8335) at 1:1000 dilution incubated overnight at 4℃. Secondary antibody: HRP-conjugated Goat anti-Rabbit IgG (H+L) (AS014) at 1:10000 dilution. Lysates/proteins: 25 μg per lane. Blocking buffer: 3% nonfat dry milk in TBST. Detection: ECL Basic Kit (AbGn00020). Exposure time: 60s.
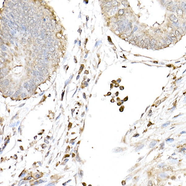
Immunohistochemistry analysis of paraffin-embedded Human colon carcinoma using cGAS Rabbit pAb (CAB8335) at dilution of 1:50 (40x lens). High pressure antigen retrieval performed with 0.01M Citrate buffer (pH 6.0) prior to IHC staining.
Immunohistochemistry analysis of paraffin-embedded Human colon using cGAS Rabbit pAb (CAB8335) at dilution of 1:50 (40x lens). High pressure antigen retrieval performed with 0.01M Citrate buffer (pH 6.0) prior to IHC staining.
Immunofluorescence analysis of PC-12 cells using cGAS Rabbit pAb (CAB8335) at dilution of 1:50 (40x lens). Secondary antibody: Cy3-conjugated Goat anti-Rabbit IgG (H+L) (AS007) at 1:500 dilution. Blue: DAPI for nuclear staining.
Immunofluorescence analysis of U2OS cells using cGAS Rabbit pAb (CAB8335) at dilution of 1:50 (40x lens). Secondary antibody: Cy3-conjugated Goat anti-Rabbit IgG (H+L) (AS007) at 1:500 dilution. Blue: DAPI for nuclear staining.