The DDR2 Monoclonal Antibody (CAB4296) is a high-quality antibody developed for reliable detection and analysis of target proteins. This gene encodes a member of the discoidin domain receptor subclass of the receptor tyrosine kinase (RTKs) protein family. RTKs play a key role in the communication of cells with their microenvironment. The encoded protein is a collagen-induced receptor that activates signal transduction pathways involved in cell adhesion, proliferation, and extracellular matrix remodeling. This protein is expressed in numerous cell types and may alos be involved in wound repair and regulate tumor growth and invasiveness. Mutations in this gene are the cause of short limb-hand type spondylometaepiphyseal dysplasia.
This antibody is validated for use in WB, ELISA applications and has demonstrated reactivity against Human, Mouse, Rat samples.
Product Name:
DDR2 Monoclonal Antibody
SKU:
CAB4296
Size:
100μL, 20μL
Reactivity:
Human, Mouse, Rat
Clone Number:
ARC0958
Conjugate:
Unconjugated
Immunogen:
Synthetic peptide. This information is considered to be commercially sensitive.
Tested Applications:
WBELISA
Recommended Dilution:
WB
1:1000 - 1:6000
ELISA
Recommended starting concentration is 1 μg/mL. Please optimize the concentration based on your specific assay requirements.
Synonyms:
TKT, WRCN, MIG20a, NTRKR3, TYRO10, DDR2
Positive Sample:
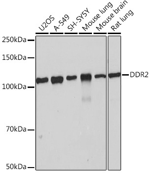
U-2 OS, A-549, SH-SY5Y, Mouse lung, Mouse brain, Rat lung
Cellular Localization:
Cell Membrane, Single-Pass Type I Membrane Protein.
Calculated MW:
97kDa
Observed MW:
110kDa
This gene encodes a member of the discoidin domain receptor subclass of the receptor tyrosine kinase (RTKs) protein family. RTKs play a key role in the communication of cells with their microenvironment. The encoded protein is a collagen-induced receptor that activates signal transduction pathways involved in cell adhesion, proliferation, and extracellular matrix remodeling. This protein is expressed in numerous cell types and may alos be involved in wound repair and regulate tumor growth and invasiveness. Mutations in this gene are the cause of short limb-hand type spondylometaepiphyseal dysplasia.
Purification Method
Affinity purification
Gene ID
4921
RRID
AB_2863228
Buffer Information
Store at -20℃. Avoid freeze / thaw cycles. Buffer: PBS containing 50% glycerol and 0.05% BSA, preserved with proclin300 or sodium azide, pH 7.3.
Western blot analysis of various lysates using DDR2 Rabbit mAb (CAB4296) at 1:1000 dilution. Secondary antibody: HRP-conjugated Goat anti-Rabbit IgG (H+L) (AS014) at 1:10000 dilution. Lysates/proteins: 25μg per lane. Blocking buffer: 3% nonfat dry milk in TBST. Detection: ECL Basic Kit (AbGn00020). Exposure time: 10s.