The Prolyl hydroxylase PHD1 (EGLN2) Antibody (CAB2252) is a high-quality antibody developed for reliable detection and analysis of target proteins. The hypoxia inducible factor (HIF) is a transcriptional complex that is involved in oxygen homeostasis. At normal oxygen levels, the alpha subunit of HIF is targeted for degration by prolyl hydroxylation. This gene encodes an enzyme responsible for this post-translational modification. Alternative splicing results in multiple transcript variants. Read-through transcription also exists between this gene and the upstream RAB4B (RAB4B, member RAS oncogene family) gene. RRID AB_2764253 Gene ID 112398 Swiss Prot Synonym EIT6; PHD1; EIT-6; HPH-1; HPH-3; HIFPH1; HIF-PH1; Prolyl hydroxylase PHD1 (EGLN2)
This antibody is validated for use in WB, IP, ELISA applications and has demonstrated reactivity against Human, Mouse, Rat samples.
Product Name:
Prolyl hydroxylase PHD1 (EGLN2) Antibody
SKU:
CAB2252
Size:
100μL, 20μL
Reactivity:
Human, Mouse, Rat
Clone Number:
-
Conjugate:
Unconjugated
Immunogen:
Synthetic peptide. This information is considered to be commercially sensitive.
Tested Applications:
WBIPELISA
Recommended Dilution:
WB
1:500 - 1:2000
IP
0.5μg-4μg antibody for 200μg-400μg extracts of whole cells
ELISA
Recommended starting concentration is 1 μg/mL. Please optimize the concentration based on your specific assay requirements.
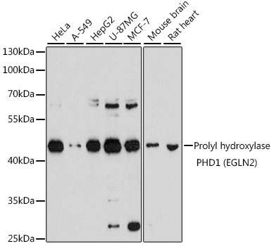
HeLa, A-549, HepG2, U-87MG, MCF-7, Mouse brain, Rat heart
Cellular Localization:
Nucleus.
Calculated MW:
44kDa
Observed MW:
43kDa
The hypoxia inducible factor (HIF) is a transcriptional complex that is involved in oxygen homeostasis. At normal oxygen levels, the alpha subunit of HIF is targeted for degration by prolyl hydroxylation. This gene encodes an enzyme responsible for this post-translational modification. Alternative splicing results in multiple transcript variants. Read-through transcription also exists between this gene and the upstream RAB4B (RAB4B, member RAS oncogene family) gene. RRID AB_2764253 Gene ID 112398 Swiss Prot Synonym EIT6; PHD1; EIT-6; HPH-1; HPH-3; HIFPH1; HIF-PH1; Prolyl hydroxylase PHD1 (EGLN2)
Purification Method:
Affinity purification
Gene ID:
112398
RRID:
AB_2764253
Buffer Information:
Store at -20℃. Avoid freeze / thaw cycles. Buffer: PBS containing 50% glycerol, preserved with proclin300 or sodium azide, pH 7.3.
Western blot analysis of various lysates using Prolyl hydroxylase PHD1 (EGLN2) Rabbit pAb (CAB2252) at 1:1000 dilution. Secondary antibody: HRP-conjugated Goat anti-Rabbit IgG (H+L) (AS014) at 1:10000 dilution. Lysates/proteins: 25μg per lane. Blocking buffer: 3% nonfat dry milk in TBST. Detection: ECL Basic Kit (AbGn00020). Exposure time: 30s.
Immunoprecipitation analysis of 150 μg extracts of HeLa cells using 3 μg Prolyl hydroxylase PHD1 (Prolyl hydroxylase PHD1 (EGLN2)) antibody (CAB2252). Western blot was performed from the immunoprecipitate using Prolyl hydroxylase PHD1 (Prolyl hydroxylase PHD1 (EGLN2)) antibody (CAB2252) at a dilution of 1:1000.