The IGF2BP2/IMP2 Antibody (CAB2749) is a high-quality antibody developed for reliable detection and analysis of target proteins. This gene encodes a protein that binds the 5' UTR of insulin-like growth factor 2 (IGF2) mRNA and regulates its translation. It plays an important role in metabolism and variation in this gene is associated with susceptibility to diabetes. Alternative splicing and promoter usage results in multiple transcript variants. Related pseudogenes are found on several chromosomes.
This antibody is validated for use in WB, IHC-P, IF/ICC, ELISA applications and has demonstrated reactivity against Human, Mouse samples.
Product Name:
IGF2BP2/IMP2 Antibody
SKU:
CAB2749
Size:
100μL, 20μL
Reactivity:
Human, Mouse
Conjugate:
Unconjugated
Immunogen:
Synthetic peptide. This information is considered to be commercially sensitive.
Tested Applications:
WBIHC-PIF/ICCELISA
Recommended Dilution:
WB
1:200 - 1:2000
IHC-P
1:50 - 1:100
IF/ICC
1:50 - 1:100
ELISA
Recommended starting concentration is 1 μg/mL. Please optimize the concentration based on your specific assay requirements.
Synonyms:
IMP2, IMP-2, VICKZ2, IGF2BP2/IMP2
Positive Sample:
Jurkat, Mouse ovary
Cellular Localization:
Cytoplasm, Nucleus.
Calculated MW:
66kDa
Observed MW:
66kDa
This gene encodes a protein that binds the 5' UTR of insulin-like growth factor 2 (IGF2) mRNA and regulates its translation. It plays an important role in metabolism and variation in this gene is associated with susceptibility to diabetes. Alternative splicing and promoter usage results in multiple transcript variants. Related pseudogenes are found on several chromosomes.
Purification Method
Affinity purification
Gene ID
10644
RRID
AB_2764598
Buffer Information
Store at -20℃. Avoid freeze / thaw cycles. Buffer: PBS containing 50% glycerol, preserved with proclin300 or sodium azide, pH 7.3.
Western blot analysis of various lysates using IGF2BP2/IMP2 Rabbit pAb (CAB2749) at 1:1000 dilution. Secondary antibody: HRP-conjugated Goat anti-Rabbit IgG (H+L) (AS014) at 1:10000 dilution. Lysates/proteins: 25μg per lane. Blocking buffer: 3% nonfat dry milk in TBST. Detection: ECL Basic Kit (AbGn00020). Exposure time: 30s.
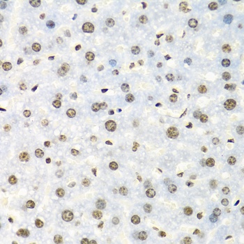
Immunohistochemistry analysis of paraffin-embedded Mouse liver using IGF2BP2/IMP2 Rabbit pAb (CAB2749) at dilution of 1:100 (40x lens). Microwave antigen retrieval performed with 0.01M PBS Buffer (pH 7.2) prior to IHC staining.