The [KO Validated] GRK2 Antibody (CAB1662) is a high-quality antibody developed for reliable detection and analysis of target proteins. This gene encodes a member of the G protein-coupled receptor kinase family of proteins. The encoded protein phosphorylates the beta-adrenergic receptor as well as a wide range of other substrates including non-GPCR cell surface receptors, and cytoskeletal, mitochondrial, and transcription factor proteins. Data from rodent models supports a role for this gene in embryonic development, heart function and metabolism. Elevated expression of this gene has been observed in human patients with heart failure and Alzheimer's disease.
This antibody is validated for use in WB, IHC-P, ELISA applications and has demonstrated reactivity against Human, Mouse, Rat samples.
Product Name:
[KO Validated] GRK2 Antibody
SKU:
CAB1662
Size:
100μL, 20μL
Reactivity:
Human, Mouse, Rat
Conjugate:
Unconjugated
Immunogen:
Recombinant protein (or fragment).This information is considered to be commercially sensitive.
Tested Applications:
WBIHC-PELISA
Recommended Dilution:
WB
1:500 - 1:2000
IHC-P
1:50 - 1:200
ELISA
Recommended starting concentration is 1 μg/mL. Please optimize the concentration based on your specific assay requirements.
Synonyms:
BARK1, ADRBK1, BETA-ARK1, K2
Positive Sample:
HT-29, Mouse spleen, Mouse brain
Cellular Localization:
Cell Membrane, Cytoplasm.
Calculated MW:
80kDa
Observed MW:
80kDa
This gene encodes a member of the G protein-coupled receptor kinase family of proteins. The encoded protein phosphorylates the beta-adrenergic receptor as well as a wide range of other substrates including non-GPCR cell surface receptors, and cytoskeletal, mitochondrial, and transcription factor proteins. Data from rodent models supports a role for this gene in embryonic development, heart function and metabolism. Elevated expression of this gene has been observed in human patients with heart failure and Alzheimer's disease.
Purification Method
Affinity purification
Gene ID
156
RRID
AB_2861727
Buffer Information
Store at -20℃. Avoid freeze / thaw cycles. Buffer: PBS containing 50% glycerol, preserved with proclin300 or sodium azide, pH 7.3.
Western blot analysis of various lysates using [KO Validated] GRK2 Rabbit pAb (CAB1662) at 1:1000 dilution. Secondary antibody: HRP-conjugated Goat anti-Rabbit IgG (H+L) (AS014) at 1:10000 dilution. Lysates/proteins: 25μg per lane. Blocking buffer: 3% nonfat dry milk in TBST.
Western blot analysis of lysates from wild type (WT) and GRK2 knockout (KO) 293T cells, using [KO Validated] GRK2 Rabbit pAb (CAB1662) at 1:500 dilution. Secondary antibody: HRP-conjugated Goat anti-Rabbit IgG (H+L) (AS014) at 1:10000 dilution. Lysates/proteins: 25μg per lane. Blocking buffer: 3% nonfat dry milk in TBST. Detection: ECL Basic Kit (AbGn00020). Exposure time: 1s.
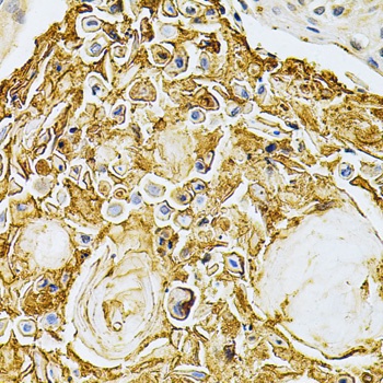
Immunohistochemistry analysis of paraffin-embedded Human esophageal cancer using [KO Validated] GRK2 Rabbit pAb (CAB1662) at dilution of 1:200 (40x lens). Microwave antigen retrieval performed with 0.01M PBS Buffer (pH 7.2) prior to IHC staining.
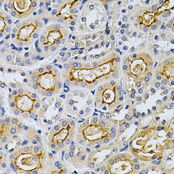
Immunohistochemistry analysis of paraffin-embedded Mouse kidney using [KO Validated] GRK2 Rabbit pAb (CAB1662) at dilution of 1:200 (40x lens). Microwave antigen retrieval performed with 0.01M PBS Buffer (pH 7.2) prior to IHC staining.