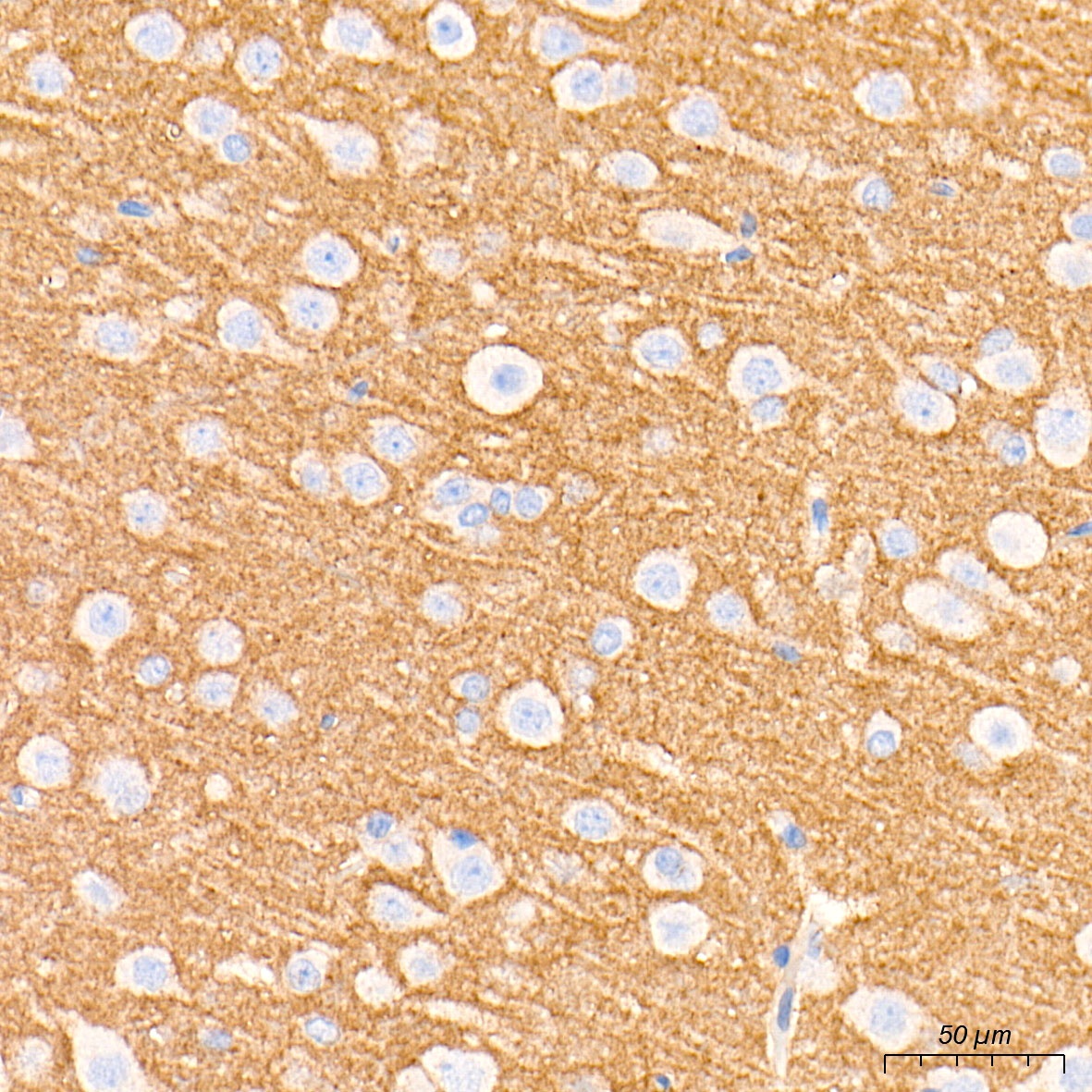
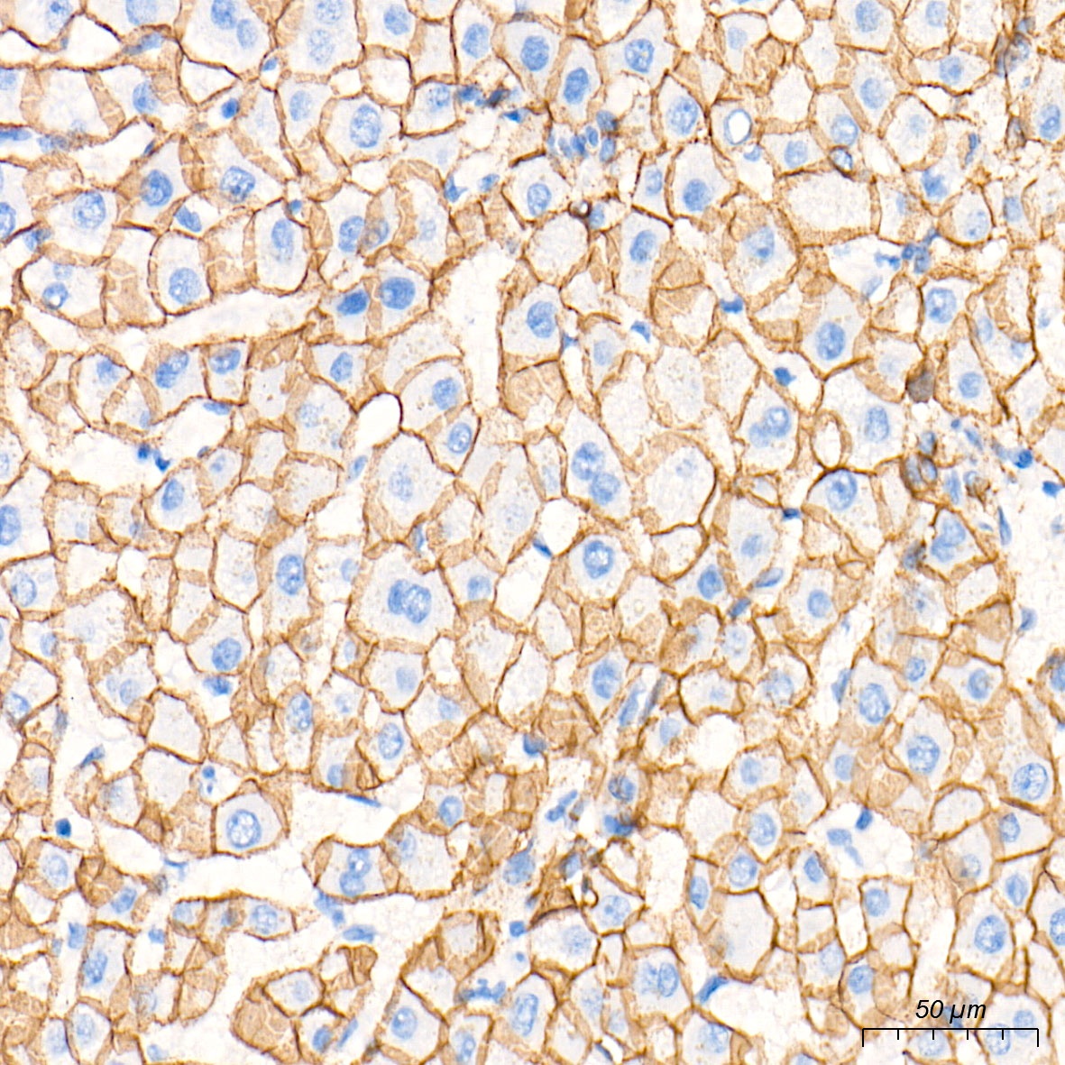
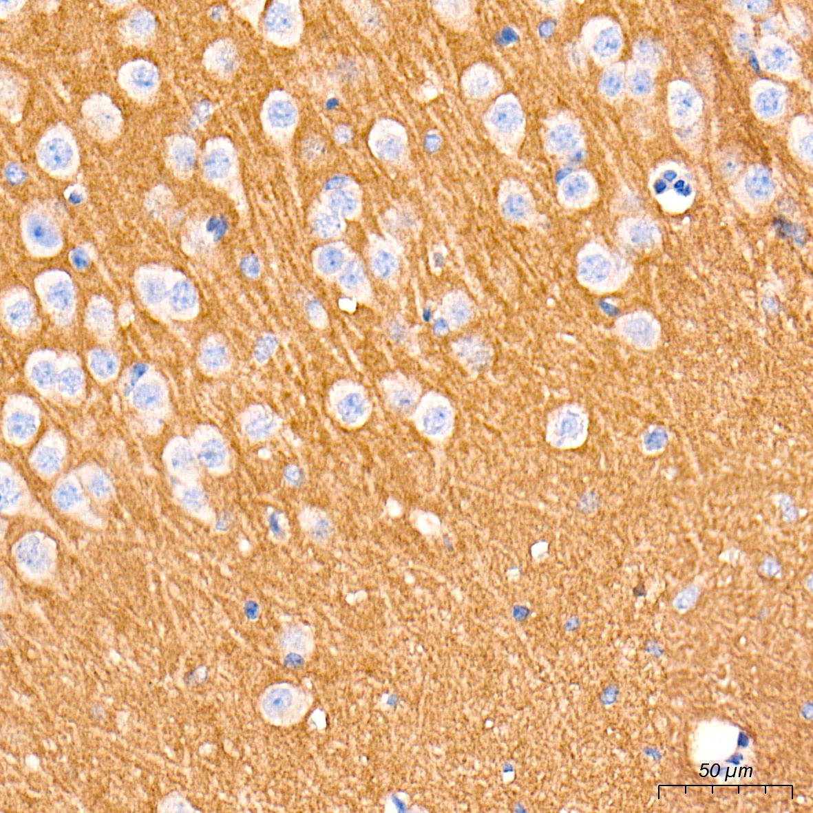
The N-Cadherin Rabbit Monoclonal Antibody (CAB19083) is a high-quality research tool designed for the study of N-Cadherin, a key protein involved in cell adhesion and migration pathways. This antibody, generated in rabbits, is highly specific for human samples and has been validated for use in applications such as Western blot and immunofluorescence.N-Cadherin is essential for maintaining tissue integrity and function, with dysregulation of its expression linked to various diseases including cancer and developmental disorders.
By targeting N-Cadherin, researchers can gain insights into cell-cell interactions, migration processes, and disease mechanisms that rely on proper cadherin function.With its high specificity and reliability, the N-Cadherin Rabbit Monoclonal Antibody (CAB19083) is an essential tool for studies in cell biology, cancer research, and developmental biology. Its ability to detect N-Cadherin in various cell types enables detailed analysis of protein localization and function, paving the way for new discoveries in the field.
CDHN; NCAD; ACOGS; ADHD8; CD325; ARVD14; CDw325; in
Positive Sample:
HeLa,293T,NIH/3T3,C6
Conjugate:
Unconjugated
Cellular Localization:
Cell membrane, Single-pass type I membrane protein.
Calculated MW:
100kDa
Observed MW:
140kDa
This gene encodes a classical cadherin and member of the cadherin superfamily. Alternative splicing results in multiple transcript variants, at least one of which encodes a preproprotein is proteolytically processed to generate a calcium-dependent cell adhesion molecule and glycoprotein. This protein plays a role in the establishment of left-right asymmetry, development of the nervous system and the formation of cartilage and bone.
Purification Method:
Affinity purification
Gene ID:
1000
Clone Number:
ARC0371
Storage Buffer:
Store at -20℃. Avoid freeze / thaw cycles.Buffer: PBS with 0.02% sodium azide,0.05% BSA,50% glycerol,pH7.3.
Western blot analysis of lysates from wild type (WT) and N-Cadherin knockout (KO) HeLa cells, using [KO Validated] N-Cadherin Rabbit mAb (CAB19083) at 1:1000 dilution.Secondary antibody: HRP Goat Anti-Rabbit IgG (H+L) (CABS014) at 1:10000 dilution.Lysates/proteins: 25μg per lane.Blocking buffer: 3% nonfat dry milk in TBST.Detection: ECL Basic Kit (AbGn00020).Exposure time: 1min.