The Myosin heavy chain Monoclonal Antibody (CAB4963) is a high-quality antibody developed for reliable detection and analysis of target proteins. Muscle myosin is a hexameric protein containing 2 heavy chain subunits, 2 alkali light chain subunits, and 2 regulatory light chain subunits. This gene encodes the beta (or slow) heavy chain subunit of cardiac myosin. It is expressed predominantly in normal human ventricle. It is also expressed in skeletal muscle tissues rich in slow-twitch type I muscle fibers. Changes in the relative abundance of this protein and the alpha (or fast) heavy subunit of cardiac myosin correlate with the contractile velocity of cardiac muscle. Its expression is also altered during thyroid hormone depletion and hemodynamic overloading. Mutations in this gene are associated with familial hypertrophic cardiomyopathy, myosin storage myopathy, dilated cardiomyopathy, and Laing early-onset distal myopathy. [provided by RefSeq, Jul 2008] RRID AB_2863399 Gene ID 4625 4624 Swiss Prot Synonym CMD1S; CMH1; MPD1; MYHCB; SPMD; SPMM; Myosin heavy chain
This antibody is validated for use in WB, IHC-P, ELISA, IF-P applications and has demonstrated reactivity against Mouse, Rat samples.
Product Name:
Myosin heavy chain Monoclonal Antibody
SKU:
CAB4963
Size:
100μL, 20μL
Reactivity:
Mouse, Rat
Clone Number:
ARC1170
Conjugate:
Unconjugated
Immunogen:
Recombinant protein (or fragment).This information is considered to be commercially sensitive.
Tested Applications:
WBIHC-PELISAIF-P
Recommended Dilution:
WB
1:1000 - 1:6000
IF-P
1:100 - 1:400
IHC-P
1:100 - 1:500
ELISA
Recommended starting concentration is 1 μg/mL. Please optimize the concentration based on your specific assay requirements.
Synonyms:
CMD1S, CMH1, MPD1, MYHCB, SPMD, SPMM, Myosin heavy chain
Positive Sample:
Mouse lung, Mouse skeletal muscle, Rat heart
Cellular Localization:
Cytoplasm, Myofibril.
Calculated MW:
224kDa
Observed MW:
224kDa
Muscle myosin is a hexameric protein containing 2 heavy chain subunits, 2 alkali light chain subunits, and 2 regulatory light chain subunits. This gene encodes the beta (or slow) heavy chain subunit of cardiac myosin. It is expressed predominantly in normal human ventricle. It is also expressed in skeletal muscle tissues rich in slow-twitch type I muscle fibers. Changes in the relative abundance of this protein and the alpha (or fast) heavy subunit of cardiac myosin correlate with the contractile velocity of cardiac muscle. Its expression is also altered during thyroid hormone depletion and hemodynamic overloading. Mutations in this gene are associated with familial hypertrophic cardiomyopathy, myosin storage myopathy, dilated cardiomyopathy, and Laing early-onset distal myopathy. [provided by RefSeq, Jul 2008] RRID AB_2863399 Gene ID 4625 4624 Swiss Prot Synonym CMD1S; CMH1; MPD1; MYHCB; SPMD; SPMM; Myosin heavy chain
Purification Method:
Affinity purification
Gene ID:
4625 4624
RRID:
AB_2863399
Buffer Information:
Store at -20℃. Avoid freeze / thaw cycles. Buffer: PBS containing 50% glycerol and 0.05% BSA, preserved with proclin300 or sodium azide, pH 7.3.
Western blot analysis of various lysates using Myosin heavy chain Rabbit mAb (CAB4963) at 1:1000 dilution. Secondary antibody: HRP-conjugated Goat anti-Rabbit IgG (H+L) (AS014) at 1:10000 dilution. Lysates/proteins: 25μg per lane. Blocking buffer: 3% nonfat dry milk in TBST. Detection: ECL Basic Kit (AbGn00020). Exposure time: 1s.
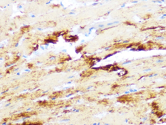
Immunohistochemistry analysis of paraffin-embedded Mouse heart using Myosin heavy chain Rabbit mAb (CAB4963) at dilution of 1:100 (40x lens). Microwave antigen retrieval performed with 0.01M PBS Buffer (pH 7.2) prior to IHC staining.
Immunofluorescence analysis of paraffin-embedded rat heart using Myosin heavy chain Rabbit mAb (CAB4963) at dilution of 1:100 (40x lens). Secondary antibody: Cy3-conjugated Goat anti-Rabbit IgG (H+L) (AS007) at 1:500 dilution. Blue: DAPI for nuclear staining.