The Phospho-IRE1-S724 Antibody (CABP0878) is a high-quality antibody developed for reliable detection and analysis of target proteins. This gene encodes the transmembrane protein kinase inositol-requiring enzyme 1. The encoded protein contains two functional catalytic domains, a serine/threonine-protein kinase domain and an endoribonuclease domain. This protein functions as a sensor of unfolded proteins in the endoplasmic reticulum (ER) and triggers an intracellular signaling pathway termed the unfolded protein response (UPR). The UPR is an ER stress response that is conserved from yeast to mammals and activates genes involved in degrading misfolded proteins, regulating protein synthesis and activating molecular chaperones. This protein specifically mediates the splicing and activation of the stress response transcription factor X-box binding protein 1.
This antibody is validated for use in WB, IHC-P, ELISA applications and has demonstrated reactivity against Human, Mouse, Rat samples.
Product Name:
Phospho-IRE1-S724 Antibody
SKU:
CABP0878
Size:
100μL, 20μL
Reactivity:
Human, Mouse, Rat
Conjugate:
Unconjugated
Immunogen:
Synthetic peptide. This information is considered to be commercially sensitive.
Tested Applications:
WBIHC-PELISA
Recommended Dilution:
WB
1:500 - 1:5000
IHC-P
1:50 - 1:200
ELISA
Recommended starting concentration is 1 μg/mL. Please optimize the concentration based on your specific assay requirements.
Synonyms:
IRE1, IRE1P, IRE1a, hIRE1p, Phospho-IRE1-S724
Positive Sample:
NIH/3T3 treated with Calyculin A
Cellular Localization:
Endoplasmic Reticulum Membrane, Single-Pass Type I Membrane Protein.
Calculated MW:
110 kDa
Observed MW:
126 kDa
This gene encodes the transmembrane protein kinase inositol-requiring enzyme 1. The encoded protein contains two functional catalytic domains, a serine/threonine-protein kinase domain and an endoribonuclease domain. This protein functions as a sensor of unfolded proteins in the endoplasmic reticulum (ER) and triggers an intracellular signaling pathway termed the unfolded protein response (UPR). The UPR is an ER stress response that is conserved from yeast to mammals and activates genes involved in degrading misfolded proteins, regulating protein synthesis and activating molecular chaperones. This protein specifically mediates the splicing and activation of the stress response transcription factor X-box binding protein 1.
Purification Method
Affinity purification
Gene ID
2081
RRID
AB_2771207
Buffer Information
Store at -20℃. Avoid freeze / thaw cycles. Buffer: PBS containing 50% glycerol, preserved with proclin300 or sodium azide, pH 7.3.
Western blot analysis of lysates from NIH/3T3 cells, using Phospho-IRE1-S724 Rabbit pAb (CABP0878) at 1:800 dilution. Secondary antibody: HRP-conjugated Goat anti-Rabbit IgG (H+L) (AS014) at 1:10000 dilution. Lysates/proteins: 25μg per lane. Blocking buffer: 3% nonfat dry milk in TBST. Detection: ECL Enhanced Kit (AbGn00021). Exposure time: 60s.
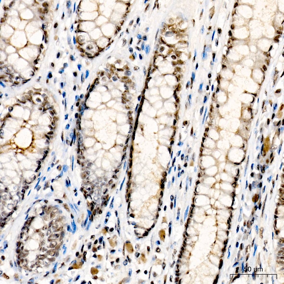
Immunohistochemistry analysis of paraffin-embedded Human colon tissue using Phospho-IRE1-S724 Rabbit pAb (CABP0878) at a dilution of 1:100 (40x lens). High pressure antigen retrieval performed with 0.01M Citrate Buffer(pH 6.0) prior to IHC staining.