The Prohibitin Antibody (CAB0056) is a high-quality antibody developed for reliable detection and analysis of target proteins. This gene is evolutionarily conserved, and its product is proposed to play a role in human cellular senescence and tumor suppression. Antiproliferative activity is reported to be localized to the 3' UTR, which is proposed to function as a trans-acting regulatory RNA. Several pseudogenes of this gene have been identified. Alternative splicing results in multiple transcript variants. RRID AB_2756921 Gene ID 5245 Swiss Prot Synonym PHB; HEL-215; HEL-S-54e; Prohibitin
This antibody is validated for use in WB, IHC-P, IF/ICC, ELISA applications and has demonstrated reactivity against Human, Mouse, Rat samples.
Product Name:
Prohibitin Antibody
SKU:
CAB0056
Size:
100μL, 20μL
Reactivity:
Human, Mouse, Rat
Clone Number:
-
Conjugate:
Unconjugated
Immunogen:
Recombinant protein (or fragment).This information is considered to be commercially sensitive.
Tested Applications:
WBIHC-PIF/ICCELISA
Recommended Dilution:
WB
1:500 - 1:1000
IHC-P
1:50 - 1:200
IF
/
ICC
1:50 - 1:200
ELISA
Recommended starting concentration is 1 μg/mL. Please optimize the concentration based on your specific assay requirements.
Synonyms:
PHB, HEL-215, HEL-S-54e, Prohibitin
Positive Sample:
MCF7, 293T, Neuro-2a, Mouse liver, PC-12, Rat liver
Cellular Localization:
Mitochondrion Inner Membrane.
Calculated MW:
30kDa
Observed MW:
30kDa
This gene is evolutionarily conserved, and its product is proposed to play a role in human cellular senescence and tumor suppression. Antiproliferative activity is reported to be localized to the 3' UTR, which is proposed to function as a trans-acting regulatory RNA. Several pseudogenes of this gene have been identified. Alternative splicing results in multiple transcript variants. RRID AB_2756921 Gene ID 5245 Swiss Prot Synonym PHB; HEL-215; HEL-S-54e; Prohibitin
Purification Method:
Affinity purification
Gene ID:
5245
RRID:
AB_2756921
Buffer Information:
Store at -20℃. Avoid freeze / thaw cycles. Buffer: PBS containing 50% glycerol, preserved with proclin300 or sodium azide, pH 7.3.
Western blot analysis of various lysates using Prohibitin Rabbit pAb (CAB0056) at 1:500 dilution. Secondary antibody: HRP-conjugated Goat anti-Rabbit IgG (H+L) (AS014) at 1:10000 dilution. Lysates/proteins: 25μg per lane. Blocking buffer: 3% nonfat dry milk in TBST. Detection: ECL Basic Kit (AbGn00020). Exposure time: 10s.
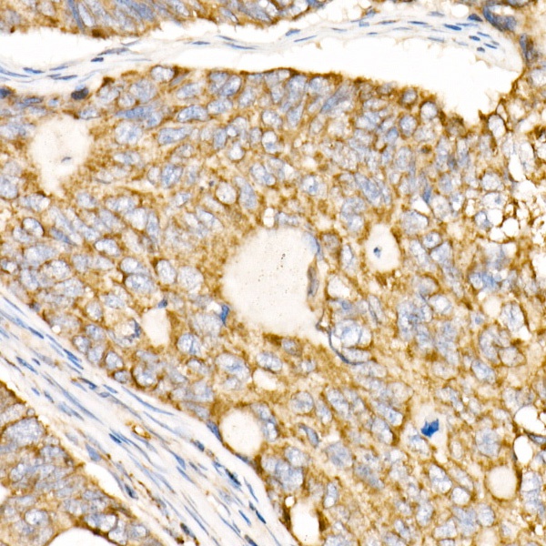
Immunohistochemistry analysis of paraffin-embedded Human colon carcinoma using Prohibitin Rabbit pAb (CAB0056) at dilution of 1:20 (40x lens). High pressure antigen retrieval performed with 0.01M Citrate buffer (pH 6.0) prior to IHC staining.
Immunohistochemistry analysis of paraffin-embedded Rat brain using Prohibitin Rabbit pAb (CAB0056) at dilution of 1:20 (40x lens). High pressure antigen retrieval performed with 0.01M Citrate buffer (pH 6.0) prior to IHC staining.
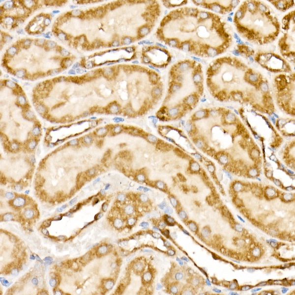
Immunohistochemistry analysis of paraffin-embedded Rat kidney using Prohibitin Rabbit pAb (CAB0056) at dilution of 1:20 (40x lens). High pressure antigen retrieval performed with 0.01M Citrate buffer (pH 6.0) prior to IHC staining.