SKA1 Antibody is a premium polyclonal that offers outstanding performance and reliability for demanding research applications. Rigorously validated for ELISA, IHC, this antibody ensures consistent, reproducible results across multiple experimental platforms. Demonstrates excellent reactivity with Human samples, providing researchers with confidence in cross-species compatibility. Conveniently packaged in 50ug format to meet your experimental needs. For optimal performance, store at -20°C or -80°C and maintains stability for 12 months. Backed by rigorous quality control testing to ensure superior performance in your critical research applications.
Product Name:
SKA1 Antibody
SKU:
PACO57372
Size:
50μg
Isotype:
IgG
Host Species:
Rabbit
Reactivity:
Human
Immunogen:
Recombinant Human Spindle and kinetochore-associated protein 1 protein (61-134AA)
Immunogen Species:
Homo sapiens (Human)
Uniprot No:
Q96BD8
Form:
Liquid
Tested Applications:
ELISAIHC
Recommended Dilution:
Application
Recommended Dilution
IHC
1:200-1:500
Synonyms:
2810433K01Rik antibody, AV117428 antibody, C18orf24 antibody, MGC10200 antibody, Ska1 antibody, SKA1_HUMAN antibody, Spindle and kinetochore associated complex subunit 1 antibody, Spindle and kinetochore associated protein 1 antibody, Spindle and kinetochore-associated protein 1 antibody, Spindle and KT (kinetochore) associated 1 antibody, Spindle and KT associated 1 antibody
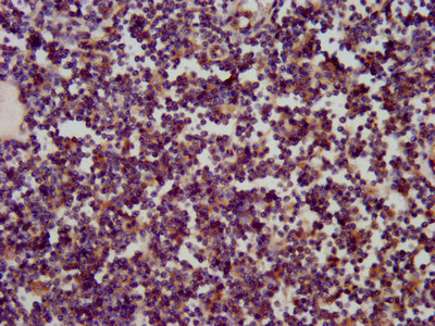
IHC image of PACO57372 diluted at 1:200 and staining in paraffin-embedded human lymph node tissue performed on a Leica BondTM system. After dewaxing and hydration, antigen retrieval was mediated by high pressure in a citrate buffer (pH 6.0). Section was blocked with 10% normal goat serum 30min at RT. Then primary antibody (1% BSA) was incubated at 4°C overnight. The primary is detected by a biotinylated secondary antibody and visualized using an HRP conjugated SP system.