null

[KO Validated] SOX2 Rabbit Polyclonal Antibody (CAB0561)

(No reviews yet) Write a Review
SKU:
CAB0561
Product Type:
Antibody
Antibody Type:
Polyclonal Antibody
Reactivity:
Human Mouse Rat
Host Species:
Rabbit
Synonyms:
ANOP3 MCOPS3 SOX2
  • KO Validated Antibodies 1 Anti-SOX2 Antibody CAB0561KO Validated
  • KO Validated Antibodies 1 Anti-SOX2 Antibody CAB0561KO Validated
  • KO Validated Antibodies 1 Anti-SOX2 Antibody CAB0561KO Validated
  • KO Validated Antibodies 1 Anti-SOX2 Antibody CAB0561KO Validated
  • KO Validated Antibodies 1 Anti-SOX2 Antibody CAB0561KO Validated
$127 - $488
Frequently bought together:

Description

system_update_altDatasheetsystem_update_altMSDS

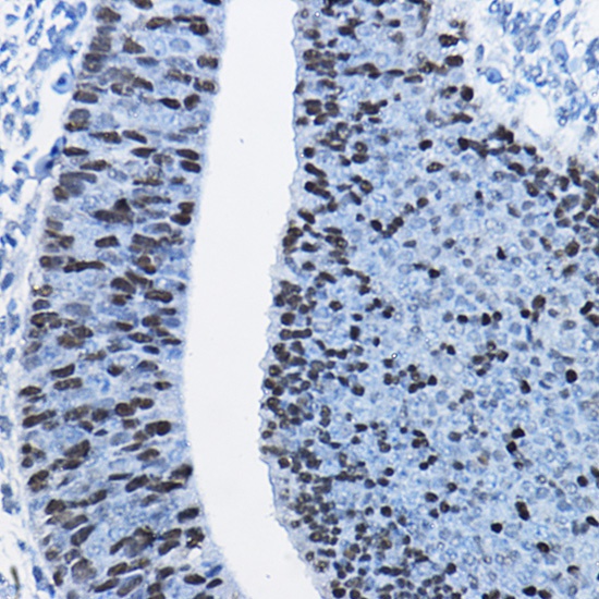
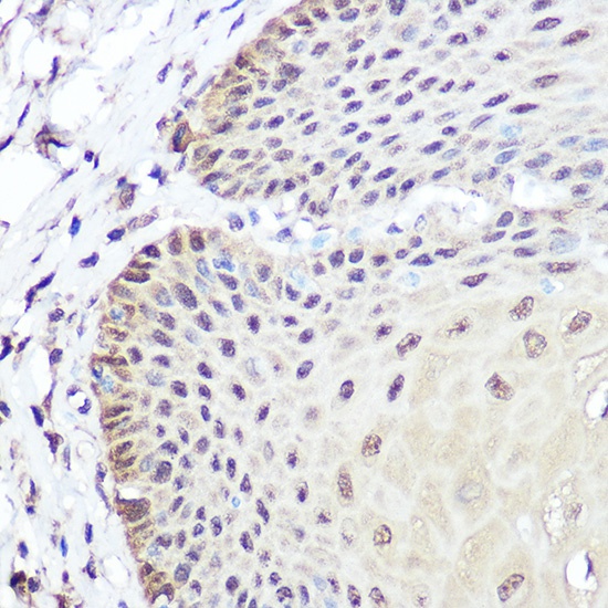
[KO Validated] SOX2 Antibody (CAB0561)

The [KO Validated] SOX2 Antibody (CAB0561) is a high-quality antibody developed for reliable detection and analysis of target proteins. This intronless gene encodes a member of the SRY-related HMG-box (SOX) family of transcription factors involved in the regulation of embryonic development and in the determination of cell fate. The product of this gene is required for stem-cell maintenance in the central nervous system, and also regulates gene expression in the stomach. Mutations in this gene have been associated with optic nerve hypoplasia and with syndromic microphthalmia, a severe form of structural eye malformation. This gene lies within an intron of another gene called SOX2 overlapping transcript (SOX2OT).

This antibody is validated for use in WB, IHC-P, IF/ICC, IP, ELISA applications and has demonstrated reactivity against Human, Mouse, Rat samples.

0 Reviews

View AllClose