The TACO1 Antibody (CAB15445) is a high-quality antibody developed for reliable detection and analysis of target proteins. This gene encodes a mitochondrial protein that function as a translational activator of mitochondrially-encoded cytochrome c oxidase 1. Mutations in this gene are associated with Leigh syndrome. RRID AB_2762353 Gene ID 51204 Swiss Prot Synonym CCDC44; MC4DN8; TACO1
This antibody is validated for use in WB, IHC-P, ELISA applications and has demonstrated reactivity against Human, Mouse, Rat samples.
Product Name:
TACO1 Antibody
SKU:
CAB15445
Size:
100μL, 20μL
Reactivity:
Human, Mouse, Rat
Clone Number:
-
Conjugate:
Unconjugated
Immunogen:
Recombinant protein (or fragment).This information is considered to be commercially sensitive.
Tested Applications:
WBIHC-PELISA
Recommended Dilution:
WB
1:500 - 1:1000
IHC-P
1:50 - 1:200
ELISA
Recommended starting concentration is 1 μg/mL. Please optimize the concentration based on your specific assay requirements.
This gene encodes a mitochondrial protein that function as a translational activator of mitochondrially-encoded cytochrome c oxidase 1. Mutations in this gene are associated with Leigh syndrome. RRID AB_2762353 Gene ID 51204 Swiss Prot Synonym CCDC44; MC4DN8; TACO1
Purification Method:
Affinity purification
Gene ID:
51204
RRID:
AB_2762353
Buffer Information:
Store at -20℃. Avoid freeze / thaw cycles. Buffer: PBS with 0.01% thimerosal,50% glycerol,pH7.3.
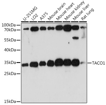
Western blot analysis of various lysates using TACO1 Rabbit pAb (CAB15445) at 1:1000 dilution. Secondary antibody: HRP-conjugated Goat anti-Rabbit IgG (H+L) (AS014) at 1:10000 dilution. Lysates/proteins: 25μg per lane. Blocking buffer: 3% nonfat dry milk in TBST. Detection: ECL Basic Kit (AbGn00020). Exposure time: 90s.
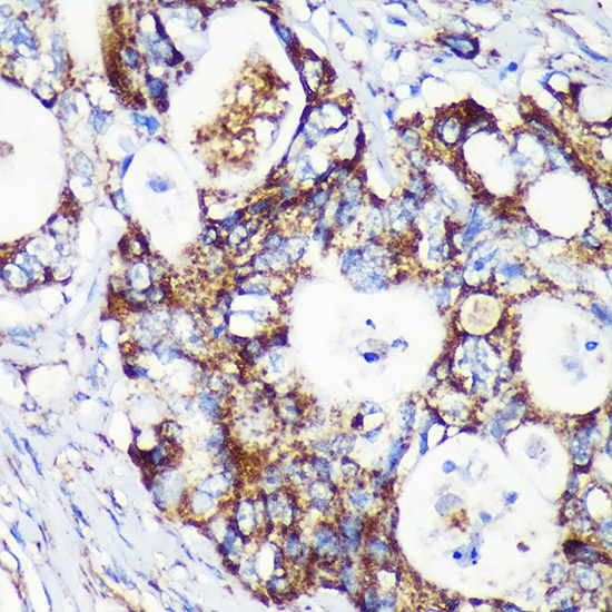
Immunohistochemistry analysis of paraffin-embedded Human colon carcinoma using TACO1 Rabbit pAb (CAB15445) at dilution of 1:100 (40x lens). Microwave antigen retrieval performed with 0.01M PBS Buffer (pH 7.2) prior to IHC staining.