The TRIM25 Antibody (CAB12938) is a high-quality antibody developed for reliable detection and analysis of target proteins. The protein encoded by this gene is a member of the tripartite motif (TRIM) family. The TRIM motif includes three zinc-binding domains, a RING, a B-box type 1 and a B-box type 2, and a coiled-coil region. The protein is an RNA binding protein, functions as a ubiquitin E3 ligase and is involved in multiple cellular processes, including regulation of antiviral innate immunity. RRID AB_2736877 Gene ID 7706 Swiss Prot Synonym EFP; Z147; RNF147; ZNF147; TRIM25
This antibody is validated for use in WB, IHC-P, IF/ICC, IP, ELISA applications and has demonstrated reactivity against Human, Mouse, Rat samples.
Product Name:
TRIM25 Antibody
SKU:
CAB12938
Size:
100μL, 20μL
Reactivity:
Human, Mouse, Rat
Clone Number:
-
Conjugate:
Unconjugated
Immunogen:
Recombinant protein (or fragment).This information is considered to be commercially sensitive.
Tested Applications:
WBIHC-PIF/ICCIPELISA
Recommended Dilution:
WB
1:500 - 1:2000
IHC-P
1:50 - 1:200
IF
/
ICC
1:50 - 1:200
IP
0.5μg-4μg antibody for 200μg-400μg extracts of whole cells
ELISA
Recommended starting concentration is 1 μg/mL. Please optimize the concentration based on your specific assay requirements.
Synonyms:
EFP, Z147, RNF147, ZNF147, TRIM25
Positive Sample:
HeLa, 293T, MCF7
Cellular Localization:
Cytoplasm.
Calculated MW:
71kDa
Observed MW:
72kDa
The protein encoded by this gene is a member of the tripartite motif (TRIM) family. The TRIM motif includes three zinc-binding domains, a RING, a B-box type 1 and a B-box type 2, and a coiled-coil region. The protein is an RNA binding protein, functions as a ubiquitin E3 ligase and is involved in multiple cellular processes, including regulation of antiviral innate immunity. RRID AB_2736877 Gene ID 7706 Swiss Prot Synonym EFP; Z147; RNF147; ZNF147; TRIM25
Purification Method:
Affinity purification
Gene ID:
7706
RRID:
AB_2736877
Buffer Information:
Store at -20℃. Avoid freeze / thaw cycles. Buffer: PBS containing 50% glycerol, preserved with proclin300 or sodium azide, pH 7.3.
Western blot analysis of various lysates, using TRIM25 Rabbit pAb (CAB12938) at 1:1500 dilution. Secondary antibody: HRP-conjugated Goat anti-Rabbit IgG (H+L) (AS014) at 1:10000 dilution. Lysates/proteins: 25μg per lane. Blocking buffer: 3% nonfat dry milk in TBST. Detection: ECL Basic Kit (AbGn00020). Exposure time: 3s.
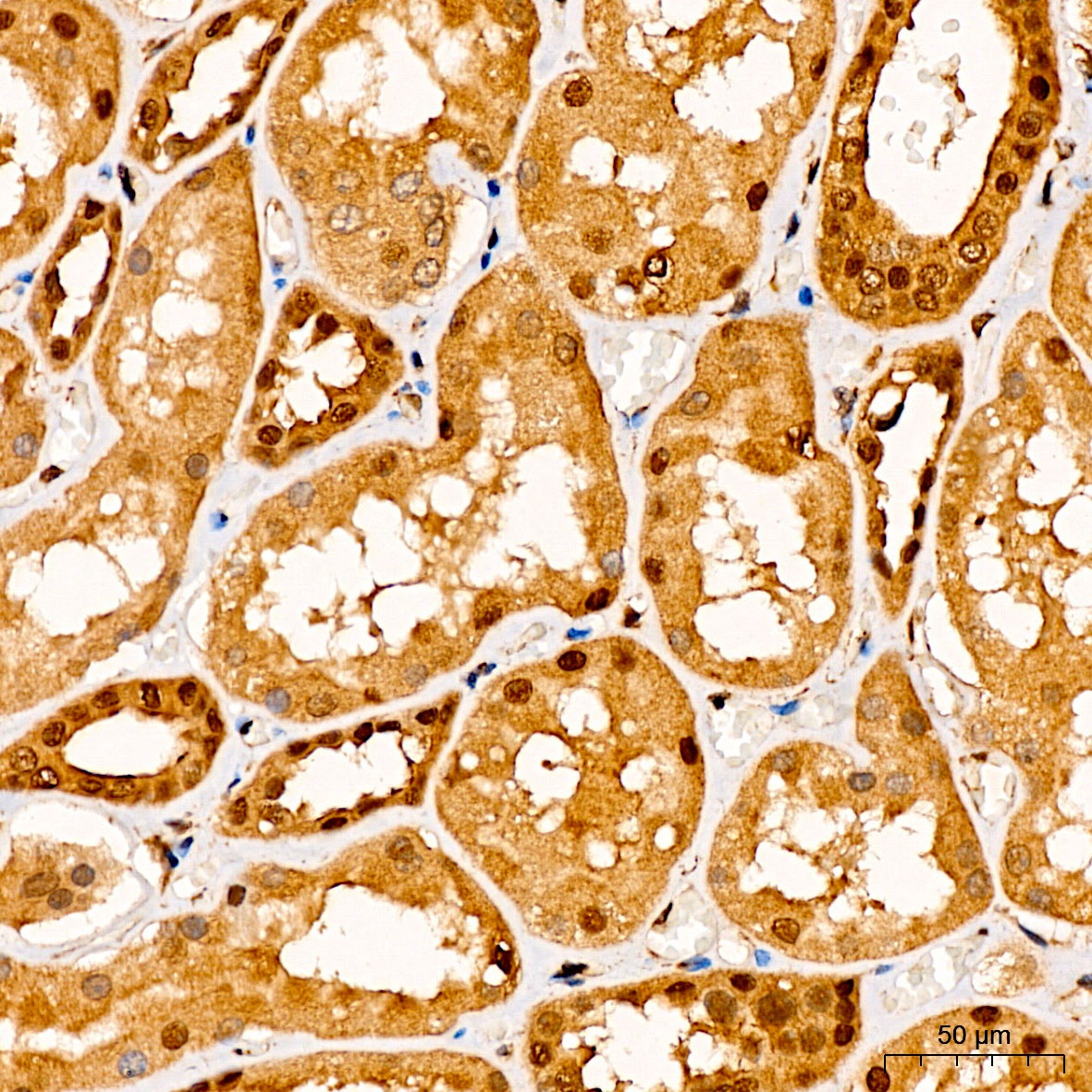
Immunohistochemistry analysis of paraffin-embedded Human kidney using TRIM25 Rabbit pAb (CAB12938) at dilution of 1:100 (40x lens). High pressure antigen retrieval performed with 0.01M Citrate buffer (pH 6.0) prior to IHC staining.
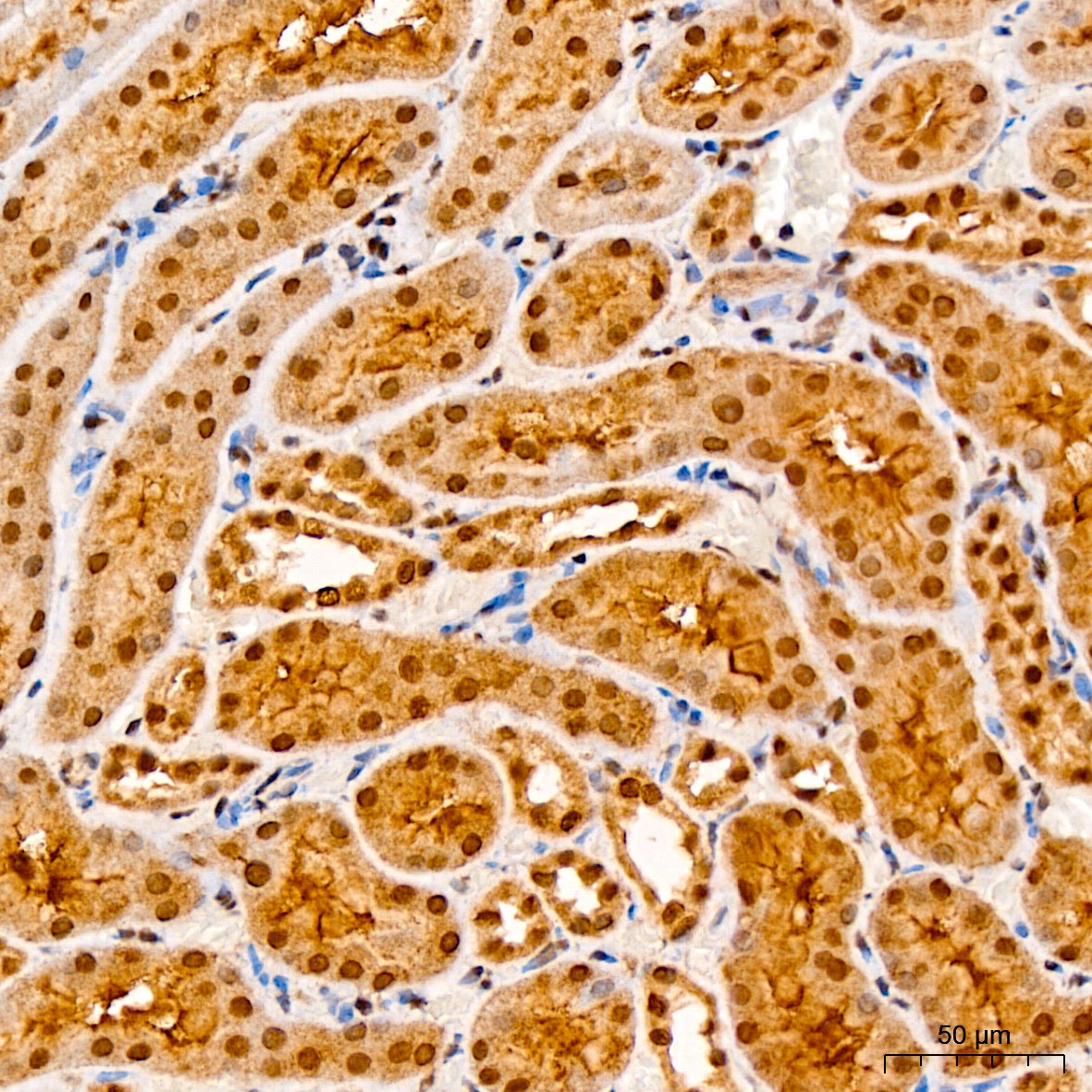
Immunohistochemistry analysis of paraffin-embedded Rat kidney using TRIM25 Rabbit pAb (CAB12938) at dilution of 1:100 (40x lens). High pressure antigen retrieval performed with 0.01M Citrate buffer (pH 6.0) prior to IHC staining.
Immunofluorescence analysis of A-431 cells using TRIM25 Rabbit pAb (CAB12938) at dilution of 1:100 (40x lens). Secondary antibody: Cy3-conjugated Goat anti-Rabbit IgG (H+L) (AS007) at 1:500 dilution. Blue: DAPI for nuclear staining.
Immunoprecipitation analysis of 200 μg extracts of HepG2 cells, using 3 μg TRIM25 antibody (CAB12938). Western blot was performed from the immunoprecipitate using TRIM25 antibody (CAB12938) at a dilution of 1:1000.