The WWC1 Antibody (CAB17110) is a high-quality antibody developed for reliable detection and analysis of target proteins. The protein encoded by this gene is a cytoplasmic phosphoprotein that interacts with PRKC-zeta and dynein light chain-1. Alleles of this gene have been found that enhance memory in some individuals. Three transcript variants encoding different isoforms have been found for this gene. RRID AB_2772915 Gene ID 23286 Swiss Prot Synonym KIBRA; HBEBP3; HBEBP36; MEMRYQTL; PPP1R168; WWC1
This antibody is validated for use in WB, IHC-P, ELISA applications and has demonstrated reactivity against Human, Mouse, Rat samples.
Product Name:
WWC1 Antibody
SKU:
CAB17110
Size:
100μL, 20μL
Reactivity:
Human, Mouse, Rat
Clone Number:
-
Conjugate:
-
Immunogen:
Recombinant protein (or fragment).This information is considered to be commercially sensitive.
Tested Applications:
WBIHC-PELISA
Recommended Dilution:
WB
1:500 - 1:2000
IHC-P
1:50 - 1:200
ELISA
Recommended starting concentration is 1 μg/mL. Please optimize the concentration based on your specific assay requirements.
Synonyms:
KIBRA, HBEBP3, HBEBP36, MEMRYQTL, PPP1R168, WWC1
Positive Sample:
HeLa, Mouse lung, Mouse brain, Rat brain
Cellular Localization:
Cytoplasm, Cytosol, Nucleus, Perinuclear Region Of Cytoplasm, Ruffle Membrane.
Calculated MW:
125kDa
Observed MW:
125kDa
The protein encoded by this gene is a cytoplasmic phosphoprotein that interacts with PRKC-zeta and dynein light chain-1. Alleles of this gene have been found that enhance memory in some individuals. Three transcript variants encoding different isoforms have been found for this gene. RRID AB_2772915 Gene ID 23286 Swiss Prot Synonym KIBRA; HBEBP3; HBEBP36; MEMRYQTL; PPP1R168; WWC1
Purification Method:
Affinity purification
Gene ID:
23286
RRID:
AB_2772915
Buffer Information:
Store at -20℃. Avoid freeze / thaw cycles. Buffer: PBS with 0.01% thimerosal,50% glycerol,pH7.3.
Western blot analysis of various lysates using WWC1 Rabbit pAb (CAB17110) at 1:1000 dilution. Secondary antibody: HRP-conjugated Goat anti-Rabbit IgG (H+L) (AS014) at 1:10000 dilution. Lysates/proteins: 25μg per lane. Blocking buffer: 3% nonfat dry milk in TBST. Detection: ECL Basic Kit (AbGn00020). Exposure time: 10s.
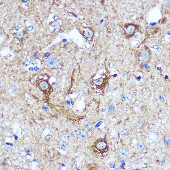
Immunohistochemistry analysis of paraffin-embedded Mouse spinal cord using WWC1 Rabbit pAb (CAB17110) at dilution of 1:100 (40x lens). Microwave antigen retrieval performed with 0.01M PBS Buffer (pH 7.2) prior to IHC staining.
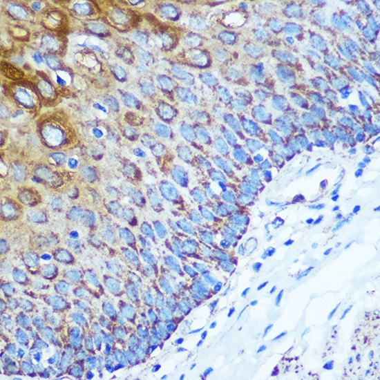
Immunohistochemistry analysis of paraffin-embedded Human esophageal using WWC1 Rabbit pAb (CAB17110) at dilution of 1:100 (40x lens). Microwave antigen retrieval performed with 0.01M PBS Buffer (pH 7.2) prior to IHC staining.