The 14-3-3 sigma Monoclonal Antibody (CAB4377) is a high-quality antibody developed for reliable detection and analysis of target proteins. This gene encodes a cell cycle checkpoint protein. The encoded protein binds to translation and initiation factors and functions as a regulator of mitotic translation. In response to DNA damage this protein plays a role in preventing DNA errors during mitosis. RRID AB_2863255 Gene ID 2810 Swiss Prot Synonym YWHAS; 14-3-3 sigma
This antibody is validated for use in WB, IHC-P, ELISA applications and has demonstrated reactivity against Human, Mouse samples.
Product Name:
14-3-3 sigma Monoclonal Antibody
SKU:
CAB4377
Size:
100μL, 20μL
Reactivity:
Human, Mouse
Clone Number:
ARC0988
Conjugate:
Unconjugated
Immunogen:
Synthetic peptide. This information is considered to be commercially sensitive.
Tested Applications:
WBIHC-PELISA
Recommended Dilution:
WB
1:500 - 1:1000
IHC-P
1:50 - 1:200
ELISA
Recommended starting concentration is 1 μg/mL. Please optimize the concentration based on your specific assay requirements.
Synonyms:
YWHAS, 14-3-3 sigma
Positive Sample:
A-431, Mouse kidney
Cellular Localization:
Cytoplasm, Nucleus, Secreted.
Calculated MW:
28kDa
Observed MW:
28kDa
This gene encodes a cell cycle checkpoint protein. The encoded protein binds to translation and initiation factors and functions as a regulator of mitotic translation. In response to DNA damage this protein plays a role in preventing DNA errors during mitosis. RRID AB_2863255 Gene ID 2810 Swiss Prot Synonym YWHAS; 14-3-3 sigma
Purification Method:
Affinity purification
Gene ID:
2810
RRID:
AB_2863255
Buffer Information:
Store at -20℃. Avoid freeze / thaw cycles. Buffer: PBS containing 50% glycerol and 0.05% BSA, preserved with proclin300 or sodium azide, pH 7.3.
Western blot analysis of various lysates using 14-3-3 sigma Rabbit mAb (CAB4377) at 1:1000 dilution. Secondary antibody: HRP-conjugated Goat anti-Rabbit IgG (H+L) (AS014) at 1:10000 dilution. Lysates/proteins: 25μg per lane. Blocking buffer: 3% nonfat dry milk in TBST. Detection: ECL Basic Kit (AbGn00020). Exposure time: 3min.
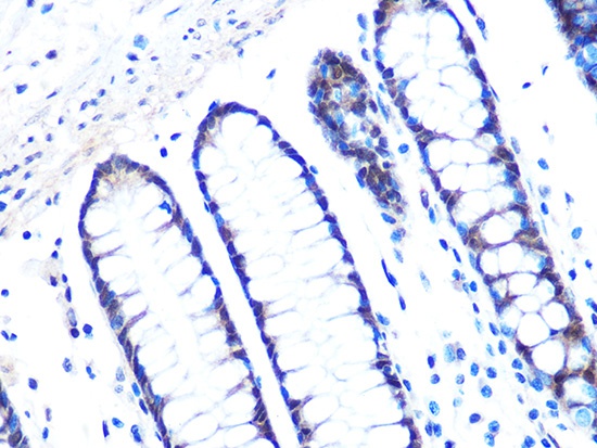
Immunohistochemistry analysis of paraffin-embedded Human colon using 14-3-3 sigma Rabbit mAb (CAB4377) at dilution of 1:100 (40x lens). Microwave antigen retrieval performed with 0.01M PBS Buffer (pH 7.2) prior to IHC staining.